



![]()
審美歯科は、見た目として美しい歯並びや歯肉をつくる目的と、歯並びや噛み合わせを治し、健康面の回復を図る目的を併せ持ちます。
口元にコンプレックスがあると、人前でなかなか自然な笑顔を作れないと思います。
美しい口元が自信を与える事により、気持ちを前向きにさせてくれます。
しかし実際は見た目の美しさの追求だけでなく、ホワイトニングは口内の衛生状態も保つことができ、虫歯や口臭を抑えることも可能であったり、歯並びやお顔との調和、歯本来の機能の回復も考え改善する総合的な歯科治療なのです。



ホワイトニングとは、健康な歯を削ることなく安全に歯を白くする治療法です。
歯の表面に過酸化水素と過酸化尿素を主成分としたホワイトニング剤を塗り、歯の表面の着色物を無色透明に分解していきます。
米国ではすでに一般的になっている、このホワイトニングは今まで不可能とされていた歯自体の色調をコントロールする治療法です。




当院のオフィスホワイトニングでは、低濃度の薬剤を使用しております。
そのため歯がしみることもなく、エナメル質への影響も少なくて済みます。
歯質・歯肉にやさしく白さも長続きします。



「NITEホワイト・エクセル」は短期間で安全にかつ効果的にホワイトニングが行えるシステムです。
歯科医師により作製された透明なマウストレーに「NITEホワイト・エクセル」ジェルを用いて使用することができます。
「NITEホワイト・エクセル」ジェルを1日最長2時間使用することにより、素晴らしい効果を得ることができます。
個人差にもよりますが、2週間で輝くような白い歯になります。
「NITEホワイト・エクセル」の主成分は過酸化尿素です。
日本で初めて厚生労働省により認可された新しいホワイトニングシステムです。
過酸化尿素が配合された「NITEホワイト・エクセル」によって、今まで困難とされていた着色歯面のホワイトニングも可能になりました。

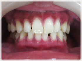
前歯2本がむし歯と以前治療をした部分が古くなって、
非常に見た目が悪くなっています。
すき間も気になりますね。
![]() |
![]() |
![]() |
| すき間もなくなり、とてもキレイになりました。 | ||
奥歯にインレー(小さな詰め物)。
大きな口をあけると気になります。
![]() |
![]() |
![]() |
| 自分の歯に合った色合いで とても自然になりました。 |
||
右奥歯に金属クラウン(冠)とインレー(小さな詰め物)。
最近は奥歯の見た目も気にする人が増えています。
![]() |
![]() |
![]() |
![]() |
![]() |
![]() |
![]() |
![]() |
![]() |
| 自分の歯に合った色合いで とても自然になりました。 |
||

歯の表面にシェル状のセラミックを貼り付ける事で、色・形が自然に美しくなります。
歯が小さい、歯の形が気になる、歯の色を良くしたいといった患者様に適した治療です。
■前歯の両サイドに小さい歯があります。ラミネートベニアによって自然な口元になりました。
![]() |
![]() |
![]() |
■すきっ歯の前歯とその両サイドに小さい歯があります。こちらも見た目が美しくなりました。

前歯の両サイドに小さい歯があります。

シェル状のセラミックをはりつける事で、
色・形が自然になります。
前歯の歯列がガタガタで気になります。
![]() |
![]() |
![]() |
| セラミックをかぶせる事で、色・形が スッキリ美しくなりました。 |
||

歯茎の黒ずみの原因はメラニン色素です。
ガムブリーチングでは、専用の薬品を使って歯肉の沈着したメラニン色素を除去して、健康的なピンク色の歯肉を回復する治療法です。
難しい色あせが必要な場合、専門の技工師を含め患者さんと相談しながら決めていきます。

他院で入れたインプラントが痛くて噛めないので、やりかえてほしい。
また奥歯がないので低い噛み合わせになってしまいそれが原因で前歯の動揺と、出っ歯ぎみになり、すきっ歯が気になります。
インプラントを取り除き、骨の増生の為のオペ(GBR)をしました。そして歯が欠損している部位にインプラントのオペを行いました。
また噛み合わせを上げてしっかり噛めるようにしました。
そして右上の一本を除き全歯にジルコニアクラウンによる審美治療を行いました。
これにより綺麗な口もとになり、美しい歯並びになりました。
![]() |
![]() |
|
| <治療前> | <治療後> |
歯医者嫌いで、いつも治療を中断していたが、今回はきちんと全て治したい。
ご飯をきちんと食べたい。又、費用面であまり余裕がないので、色々提案して自分に合った治療をしてほしい。出来るだけ安く、でも審美的に上は金属は見えない様に綺麗にしたいとのこと。
初診時、ほとんどの奥歯が虫歯と歯周病で残せない状態で、前歯でなんとか食べていた状態でした。又、顎関節症にもなっており、一から噛み合わせを再構築する必要がありました。
抜歯は最小限行い、神経の治療や歯冠長延長術(虫歯などで小さく短くなってしまった歯をオペをし残せる状態にしたり、審美的回復などに行う治療)を行い、歯周病治療をし、ブリッジやクラウン(かぶせ)で咬合回復を行い、ファイバーデンチャーという金属製のワイヤーを使わない入れ歯を装着しました。
ご本人はご飯の味が以前より美味しく食べられると喜んでおり、笑った時に入れ歯を入れてると気付かれないと、大きな口で人前で話したり、笑える様になったと満足されていました。
これからはメンテナンスにきて、大切に歯をしていきたいと、以前の歯医者嫌いもなくなりました。
![]() |
![]() |
|
| <治療前> | ||
![]() |
||
![]() |
![]() |
|
| <治療後> | ||
歯茎が見えること、歯が丸くて小さい、歯並びを治したい、歯をまっすぐにしたい。
まず歯肉整形を行い、ラミネートベニアによる処置にて完了。
御本人はとても満足をされていました。
![]() |
![]() |
|
![]() |
||
| <治療前> | ||
![]() |
||
![]() |
![]() |
|
![]() |
||
| <治療後> | ||
上の前歯のすきっ歯がきになる。
前歯6本をラミネートベニアにて治療。本人は思いっきり歯をだして笑える様になったと満足されていました。
審美的にはもう少し歯の先のラインを揃えたい所ですが、相談の結果今の形になりました。
![]() |
![]() |
|
| <治療後> | ||
上の前歯が飛び出してる出っ歯を綺麗にしたい。歯は抜きたくない。下の前歯をホワイト二ングしたい。
下の前歯をホワイト二ングしました。上の歯は抜歯せずジルコニアにて治療しました。
また歯と歯茎の境目が不均一なので、歯肉成形をしました。これにより左右対称な歯の形になりました。唇の形も治療前に比べ綺麗になりました。
![]() |
![]() |
|
| <治療前> | ||
![]() |
||
![]() |
![]() |
|
![]() |
||
| <治療後> | ||
噛み合わせがあってなく食事がしづらい。また、審美的に綺麗にしたい。空気がもれて発音がしづらい。歯列矯正はしたくない。
まず本来この方の一番いい状態になるようにあらかじめシミュレーションした仮歯をつくり、ほとんど全ての歯を神経を残した状態で削り、ガムシェイプ(歯茎のオペ)をし、セラミックで治療しました。
治療後、今迄食べづらかった物が食べやすくなり、口もとが綺麗になり、発音がしやすくなりました。
![]() |
![]() |
|
![]() |
||
| <治療前> | ||
![]() |
||
![]() |
![]() |
|
![]() |
||
| <治療後> | ||
前歯がすり減って形がよくない。角張っている。
歯肉整形(ガムシェイプ)をし、ラミネートベニヤにて治療。
本来の素敵な口元になりました。
![]() |
![]() |
|
| <治療前> | ||
![]() |
||
![]() |
![]() |
|
| <治療後> | ||
前歯の歯並びが気になる。歯茎の形が非対称。
歯肉整形(ガムシェイプ)をし、ジルコニアオールセラミックにて治療。
![]() |
||
![]() |
![]() |
|
| <治療前> | ||
![]() |
||
![]() |
![]() |
|
| <治療後> | ||
ごはんが食べづらく美味しく食べられない。
アゴが疲れる。舌を噛む。見た目が気になる。
この方は色々な歯科医院にいかれたが改善されないとの事で、当医院を受診。
かなり咬耗(歯がすり減っている)しており、バイトアップ(咬合挙上)を行い、全て神経を残した状態でジルコニアオールセラミックにて修復した。
噛み合わせをゼロから理想的な状態に治療。それにより、主訴は全て改善され快適になったと喜ばれている。
ただ前歯の見える所は患者さんの希望によりそのままの状態で、ホワイト二ングと部分修復のみとした。
![]() |
![]() |
|
![]() |
![]() |
|
![]() |
||
| <治療前> | ||
![]() |
||
![]() |
![]() |
|
![]() |
![]() |
|
![]() |
||
| <治療後> | ||
何回歯医者にかよっても、治らないと、紹介で当院を受診。
1日するとアゴが疲れて、どうしようもないくらい辛い。
食事が美味しくない。口臭がなおらない。虫歯はないといわれた。部分入れ歯が噛めない、落ちてくる。
噛み合わせが低くちゃんとした噛み合わせになっていない。虫歯がある。歯周病に罹患している。
患者さんと、相談した結果、フルマウスリハビリテーション
(全ての歯の治療のやりかえと、咬合を再構築する)希望となりました。
まずは歯周病の治療をし、虫歯を全て取り、仮歯で、患者さんの本来持っている噛み合わせをつくり、上は全て残せる歯はセラミックブリッジにし、特殊なアタッチメントをつけ、入れ歯は薄くくりぬいた、違和感の少ない設計のチタンプレートとした。
下は一本をインプラントにし、残りの歯はセラミックのフルブリッジにした。
アゴのつかれ、ダルさもとれ、しっかりと噛めるようになったと、とても喜んでいます。
朝おきたら口が楽になり、口臭もなくなり、見た目も口元が、張りが出て若返ったと、大変喜んでいただけた。素敵な口元、歯並びになりとても綺麗になりました。
![]() |
![]() |
|
![]() |
||
| <治療前> | ||
![]() |
||
![]() |
![]() |
|
![]() |
||
![]() |
![]() |
|
![]() |
||
![]() |
![]() |
|
| <治療後> | ||
歯並びを綺麗にしたい。出来るだけ最小限の治療で。
神経を残して出来るだけ最小限で素敵な歯並びになるようセラミックにて治療。
また、唇にずっとあった縦シワがなくなり綺麗な唇になり、
口紅が綺麗に塗れて若々しくなりました。
![]() |
![]() |
|
| <治療前> | ||
![]() |
||
![]() |
![]() |
|
| <治療後> | ||
20代女性
前歯の出っ張り、詰め物の変色、口紅が歯につくのが嫌。
2本の歯にセラミックの被せ物を神経を取らず修復しました。
見た目の出っ歯も改善され綺麗な口元になりました。
また唇の形も美しくなり、口紅もつかなくなりました。
![]() |
![]() |
|
| <治療前> | ||
![]() |
||
![]() |
||
| <治療後> | ||
20代女性
左上の前歯(2番目)の補綴希望。変色。
他院にて以前に神経の処置がしており、土台にファイバーコア(グラスファイバー)を用い、ジルコニアオールセラミックの被せ物をしました。
自然感があり、どの歯を治療したか分からなくなりました。
![]() |
![]() |
|
| <治療後> | ||
20代女性
虫歯治療。
口を開けたときに下は奥まで銀歯が見えるのが嫌なので白くしたい。変色しない材質希望。
銀歯が二次虫歯になっていたので、虫歯治療後セラミックの詰め物で治療しました。
![]() |
![]() |
|
| <治療前> | <治療後> |
30代女性
歯ぐきのホワイトニングと歯のホワイトニング
クリニックにて行うオフィスブリーチングを行いました。
その後、歯ぐきに特殊なお薬によりガムブリーチング(歯ぐきのホワイトニング)
![]() |
![]() |
|
| <治療前> | <治療後> |
40代男性
全顎的治療希望。ご飯が食べられない。顎がいたい。綺麗な歯で美味しくご飯をたべたい。
まず歯型をとり診査診断をし、最終的な状態を精査しそれにもとづき、インフォームドコンセントをし患者さんの希望に合う治療法を色々提案して治療に入りました。
まず残せる歯には虫歯と歯周病の治療をして、どうしても残せない歯は仕方なく抜歯をしました。そしてバイトアップ(咬合挙上)を行いセラミックのブリッジにしました。
右下はインプラントを希望されていたので、抜歯後GBR(骨をしっかりつくる手術)を行いました。インプラントまでファイバーデンチャー(金属のない入れ歯)をする予定です。
治療後、よくご飯が噛め、顎の痛みも無くなり、人前で歯を出して笑えるようになり、
口臭も無くなり大変喜んでおられます。
![]() |
![]() |
|
| <治療前> | ||
![]() |
||
![]() |
![]() |
|
![]() |
||
![]() |
![]() |
|
![]() |
||
| <治療後> | ||
40代男性
前歯上下12本(3~3の上下)の歯並びを治したいが矯正はしたくない。費用をあまりかけられないが保険ではしたくない。自然な感じにしたい。
全ての歯の神経を温存したまま、ジルコニア+ハイブリッド(金属なし)のクラウン(かぶせ)により治療を行いました。これにより男性らしい綺麗な歯並びになり失われていた機能回復も改善されました。
下の歯ぐきの不揃いも気になりましたが、ご本人の希望でガムシェイプ(歯ぐきの手術)は行いませんでした。
![]() |
| <治療後> |
30代女性
上の前歯の動揺と歯並びの広がり、形を綺麗にしたい。
噛み合わせがかなり深く、下の歯が上の歯に余計な負荷がかかっている上、歯周病が進行しており、まず歯周病の治療をして、噛み合わせの調整をして安定してから、神経を温存したまま連結したジルコニアセラミックにて修復しました。
結果、歯の動揺は無くなり綺麗な歯の形になりました。
また、前歯の機能回復もした結果、下顎がスムーズに動くようになり楽になったそうです。下の歯はいずれホワイトニングしていき、上の歯の色と同じようにしていく予定です。
![]() |
<治療前> |
![]() |
![]() |
| <治療後> |
50代男性
以前に右上1番の歯の欠損で、上の前歯2~2の保険で作ったブリッジが動く、黄色く変色したのが気になる、歯ぐきの境目の露出した黒ずみ(メタルマージン)、 歯ぐきの境目の不揃いがある。出っ歯になってきた。
希望 : 歯の動揺を抑え、 自然な感じで、変色せず長持ちさせたい。
3~3(上の前歯)を神経を温存して、ジルコニアオールセラミックブリッジにて補綴しました。また笑った時の歯茎の境目が不揃いをガムシェイプを行い、左右対象にしました。
又歯の形をこの患者さんに合う様につくり、機能回復も同時に治療しました。結果、歯の動揺もなくなり素敵な笑顔を見せてくれる様になりました。
![]() |
<治療前> |
![]() |
![]() |
| <治療後> |
30代男性
前歯の反対咬合改善と歯の動揺がある。
口を閉じてると口元が凹んでいる(いわいるディッシュフェース)。歯並びも一緒に治したい。希望は最小限で一番効果のある治療と矯正はしたくない。
2~2のジルコニアオールセラミックにて反対咬合を正常咬合にしました。
結果、口元の歪みも無くなり綺麗な口元になりとても喜んでくれました。咬合も同時に全体に調整してご飯が美味しくなったと喜んでくれました。
![]() |
||
<治療前> |
||
![]() |
||
![]() |
![]() |
|
| <治療後> | ||
30代男性
右の前歯が虫歯で折れてるのと、真ん中の歯が広がってすきっ歯を治したい。
保険治療 希望
右の折れた歯は、根が残せる状態でしたので、コア(土台)を作り、2~2で保険適応の前装冠にて治療しました。
結果、すきっ歯も無くなり綺麗な歯並びになり、前歯で物が噛みちぎれるようになったととても喜んでくださいました。今迄前歯がコンプレックスであまり口元を見せなかったらしく、これからはどんどん見せていくそうです。
![]() ![]() |
||
<治療前> |
||
![]() |
||
![]() |
![]() |
|
| <治療後> | ||
40代女性
オープンバイト(開口→噛んだ時に奥歯しか噛まず、前歯に隙間がある状態) で前歯で物が噛めない事、顎関節症になっており、顎が痛い、上下前歯の歯の隙間が気になる。
まず上下前歯12本をマウスピース矯正装置にてある程度矯正後、ジルコニア オールセラミックにて神経を残して補綴しました。
これにより前歯で食べ物が噛みちぎれ、綺麗な歯並びになり隙間もなくなり口元が美しくなりました。
また顎関節症も、適切な噛み合わせを与える事で痛みもなくなり朝起きると楽になったと喜んでいただきました。
歯の色は元々の色を希望されており、治療した事が分かりづらい様に色合わせをしました。
![]() |
![]() |
|
<治療前> |
||
![]() |
||
![]() |
||
| <治療後> | ||
60代女性
金属アレルギー。本人のご希望で全ての金属をやり変えたい。
・他の虫歯も治したい。
・予算内で治したい。
・歯並びはそのままで。
患者さんとインフォームドコンセント後、予算も考慮の上、ジルコニア オールセラミックとハイブリッド セラミックにてやり変える事になりました。
金属アレルギーもなくなり、予算内で治療できました。また治療前より綺麗になり、満足をされてました。
![]() |
![]() |
|
<治療前> |
||
![]() |
||
![]() |
![]() |
|
| <治療後> | ||
40代男性
・歯がすり減り短くなってしまった。
・噛み合わせが合っておらず、歯にヒビが入ってきている。
・上手く歯ぎしりが出来なく、奥歯に負担がかかりすぎ歯が短くなってきている事と歯周病の増悪因子となっている。
・一緒に歯を白くしたい。
上のすり減り、減ってしまった歯(3~3の6本)には神経を残して、6本ジルコニア オールセラミッククラウンにて、被せ物の治療を行いました。
また、下の歯はオフィスホワイトニング(病院にて行う歯を削らずに白くする方法)をいたしました。あわせて、不正咬合だった状態も一緒に治療しました。
結果、歯を削る事に少し抵抗があったのですが、とても満足をされてました。
もっと早くすれば良かったと「綺麗になった口元と改善された噛み合わせ」で素敵な笑顔でした。
![]() |
![]() |
|
<治療前>(向って左側は本来の歯の状態の仮歯、右側は今の状態) |
||
![]() |
||
![]() |
![]() |
|
| <治療後> | ||
30代女性
歯科恐怖症例の為、治療の必要性を知りながら歯科医院への通院ができずにおり、当院に来院。 全歯にわたり虫歯が進行しており、歯周病も進行していました。また、長期間虫歯を放置した事で、噛み合わせも悪くなり顔の歪みも見られます。
歯茎の黒ずみも気になりピンク色の健康的な色にしたいと。歯並びの改善希望。笑った時の歯ぐきを綺麗にしたい。噛み合わせが低くなっており口元に張りがなくなってしまってる。
患者さんと相談の結果、咬合再構築、バイトアップ(咬合挙上)、歯茎のホワイトニング、ジルコニアオールセラミックによる審美回復と機能回復。
ガムシェイプ(歯茎のラインを外科的に綺麗に揃える治療)により全顎的に治療を行う事になりました。
まず、歯周病の治療から始めていき、口腔内の環境改善をし、診断用ワックスアップ及びプロビジョナルレストレーション(最終的な形態や機能回復及び審美回復を模型上で理想的な状態を作りそれを元に仮の歯を作る事)を作製して、実際に口腔内に仮の歯を順番にセットしていきました。
咬合挙上も行い、顎関節に順応しているか?など実際の口腔と模型上では違うので、全てにおいて徹底的にチェックをしていきます。問題無ければジルコニアオールセラミックに置き換えていきます。
またガムシェイプ(歯肉整形)、ガムブリーチ(歯ぐきのホワイトニング)も行いました。
1人の歯科技工士が最初から最後まで担当します。
クリニックに来てドクターと患者さんの3人もしくは衛生士の意見なども参考に口腔内も一緒にチェックしたり、患者さんの希望を聞きます。全てのチェック後にジルコニアオールセラミックをセットしました。
結果、全てにおいて患者さんに満足のいく治療ができました。素敵な笑顔がみられ、歯医者冥利につきます。
![]() |
| <治療前> |
![]() |
![]() |
| <治療後> |
![]() |
![]() |
|
<治療前> |
||
![]() |
||
![]() |
![]() |
|
| <治療後> | ||
![]() |
||
<治療前> |
||
![]() |
||
![]() |
![]() |
|
| <治療後> | ||
![]() |
![]() |
|
![]() |
![]() |
|
<治療前> |
||
![]() |
||
![]() |
||
| <治療後> | ||
20代女性
以前に、他院で治療した審美のやり直しを希望し来院。
前歯のセラミックがだんだん歯茎がかぶってきて小さくなってきた事と笑うと歯茎がでる(いわゆるガミーフェイスと言います)事の改善。また歯を大きくして欲しい。
少し口を開けた時に歯が見える様にしたい。色を綺麗にしたい。
歯がペタッとしているのを独立感を出して欲しい。左右対象にしたい。
ガムシェイプ(歯茎の境目を揃えるオペ)を行い、クリニックに技工士立会いのもと、患者さんと色や形などを決めて元々4本のセラミックでしたが5本でジルコニアオールセラミックにて審美修復をいたしました。
結果、大変満足されて大きな口で笑えるようになりました。
![]() |
||
<治療前> |
||
![]() |
||
![]() |
![]() |
|
| <治療後> | ||
30代男性
歯並びを治したい。銀歯を白くしたい。噛み合わせを治して欲しい。
ワイヤーの矯正は時間がかかるのでしたくない。顎が痛い。お金がかかってもいい材料で治したい。
診断用の歯型をとり、この患者さんの問題点と改善すべき点をあらかじめ診断し、仮歯を装着して実際に適切かどうかを確認後、ジルコニアオールセラミックにて最終的に治療いたしました。
結果、綺麗な歯並びと噛み合わせが改善され、大変満足されていただきました。
また、顎が痛い(顎関節症)も治りました。
![]() |
![]() |
|
![]() |
![]() |
|
<治療前> |
||
![]() |
||
![]() |
||
![]() |
![]() |
|
| <治療後> | ||
30代男性
歯茎の黒ずみを綺麗にしたい。
特殊なお薬を用いて治療いたしました。
![]() |
||
<治療前> |
||
![]() |
||
![]() |
||
<治療中> |
||
![]() |
||
![]() |
![]() |
|
| <治療後> | ||
70代男性
保険の入れ歯を、違うもっと快適で綺麗に見える入れ歯にしたい。出来るだけ入れ歯に見えない入れ歯にしてほしい。
チタン(生体親和性に優れるもの)を使い、できるだけ薄くかつ入れ歯の範囲を少なくする為にホースシュータイプの設計にいたしました。
また、通常人工歯は硬質プラスチックで、作るのを今回見える所はポーセレン(セラミック)歯を用いる事で自然な色合いをだすことで入れ歯に見えない様に作りました。
![]() |
<治療前> |
![]() |
![]() |
<治療後> |
![]() |
| <左が保険の入れ歯、 右が金属を用いたメタルプレート(自費)> |
40代女性
1:虫歯の治療と歯周病の治療
2:顎の痛み(顎関節症)
3:審美的回復 (全体に歯を綺麗にしたい、歯並びを治したい、顔の歪みを治したい)
4:噛み合わせを治したい 昔から気にしていた
(正しい診断をする為に、歯型をと取ったりレントゲンや色々な写真を撮ります。また顎の位置や噛み合わせの細かな診査をします)
問診を詳しくします
・歯並びが良くない事で、
顔の歪や顎の痛みの原因の1つになっている。
・噛み合わせに色々な問題点があります。
・普段の歯に悪影響を及ぼす生活習慣があります
・上下の歯列に正中のズレもあります
・歯茎のラインが揃っておらず左右対象になっていない、
インフォームドコンセント→
診断結果と治療法について御本人に色々な治療法の選択肢を詳しく説明をし、納得いく方法で今後の治療法を決めていきました。
当然、その中には費用の考慮や期間やメリット、デメリットについても説明をして御本人の納得いく方法で治療をする事になりました。
矯正は希望されず、短期間で美しく、美味しく噛める噛み合わせ、虫歯や歯周病の再発のしづらい材質の希望、顎関節症例の改善が希望。
ジルコニアオールセラミックにて全額全歯の補綴矯正(歯を削り冠を被せて治す方法)を希望されました。
治療 1:
まず模型をつかい診断用ワクシングをして最終的な状態を噛み合わせや審美的回復のシミュレーションを行いそれを元にプロビジョナルレストレーション(仮歯)を作ります。
仮歯とは歯を削り斬間的(一時的)に歯に被せる白いプラスチックの様な歯です。
↓
治療2:
全ての歯を最小限削り、仮の歯にかえます。
またガムシェイプ(歯茎を綺麗に揃える治療)をします。ここで最終的な全ての調整やチェックを行い、問題がないか?改善されているかをチェックします。
また、担当の技工士と患者さんと3人で細かな所の指示や要望を実際に患者さんを見ることで伝わりづらい事を伝えます。
↓
治療3:
最終的な型どりをし全歯28本にジルコニアオールセラミックをセットしました。
患者さんは見た目の美しさと良くなった噛み合わせや顔の歪みがなくなった事、顎の痛みが無くなっている事にとても満足されていました。
またご家族からも喜んでもらったと言われ歯医者みよりにつきる御言葉を頂きました。
↓
治療4:
定期的にメンテナンスをこれからはしていき、一本でも大切な臓器の一部でもある歯を患者さんと一緒にチェック、プロフェショナルケアしていきます。
御本人も前みたいにもどりたくないと丁寧にお家で歯ブラシ(ホームケア)をしています。
予防にはお家でのホームケア(患者さん自身の正しいブラッシング歯磨き)と病院でのプロフェッショナルケア(プロが行うクリーニング)の両方が大切です。
より正しくお家で歯磨きしていても必ず手が届かない箇所があります。それをプロのケアで予防していきます。
![]() |
![]() |
|
![]() |
![]() |
|
![]() |
![]() |
|
<治療前> |
||
![]() |
||
![]() |
![]() |
|
![]() |
![]() |
|
![]() |
||
![]() |
![]() |
|
| <治療後> | ||
30代女性
今迄、保険治療の材質で何回も同じ歯が虫歯になり、その度に歯を削り詰め直す治療が嫌で今回は虫歯になりにくいいい材質でのやりかえの希望で来院されました。
また以前通院していた歯医者では保険治療と自費治療の説明がなく当たり前の様に保険だったので、違いをきちんと説明してほしい。希望は下記
1、治療した歯が虫歯になりづらい事
2、出来るだけ長期間変色したり劣化しない事
3、見える所は出来るだけ白くしたいが
見えない歯は虫歯になりにくい事
4、金属アレルギーになりたくない
![]() |
<治療前> |
インフォームドコンセント: お口の中に入る物でどんな材質か違いを理解して頂いてから御本人の意思で選んで頂いております。 臓器の一部になるわけですから当たり前ですよね!どんな材質の物が歯に使われているか知るのは。 |
![]() |
![]() |
<治療後> |
全ての材質の違いについて説明を行い、ジルコニアオールセラミッククラウン(かぶせ)、白金の詰め物、セラミックの詰め物を選ばれました。 全て自費になり高額になりましたが、健康や今後の事を、考えられ決められたとの事です。 歯石とりやpmtc(プロによるクリーニング)を術前に行いピカピカになった真っ白な歯と痛くない歯石とりにびっくりされていました。 当院では衛生士が1本づつ丁寧に歯にこびり付いた歯石(見える歯石と隠れて見えない歯石)を完璧に取り除いています→虫歯と歯周病の原因となります これからは痛くなくても予防に定期的チェックとクリーニングに来院するそうです。 |
20代女性
前歯の破折の治療と審美回復
前歯の破折により来院。破折歯は神経が取ってある歯であり、
又、隣の歯2~2の歯も以前に神経を取ってありCR(白いプラスチックの詰物)にて修復されていた。
変色も見られ2~2の4本の治療希望となりました。
通法通り神経の無い歯にはコアという土台を作り冠というかぶせる治療にて治療しました。
材料には患者さんと相談の結果、ファイバーコア(金属ではないグラスファイバーの様な白い歯に優しい材料)とジルコニアオールセラミックにて修復することになりました。
![]() |
![]() |
|
<治療前> |
||
![]() |
||
![]() |
![]() |
|
| <治療後> | ||