良い治療は笑顔も
生み出します−

良い治療は笑顔も
生み出します−





当院でこれまで行ってきた症例についてご紹介しております。
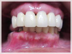
他院で入れたインプラントが痛くて噛めないので、やりかえてほしい。
また奥歯がないので低い噛み合わせになってしまいそれが原因で前歯の動揺と、出っ歯ぎみになり、すきっ歯が気になります。
インプラントを取り除き、骨の増生の為のオペ(GBR)をしました。
そして歯が欠損している部位にインプラントのオペを行いました。
また噛み合わせを上げてしっかり噛めるようにしました。
そして右上の一本を除き全歯にジルコニアクラウンによる審美治療を行いました。
これにより綺麗な口もとになり、美しい歯並びになりました。
![]() |
![]() |
![]() |
| <治療前> | <治療後> |
歯医者嫌いで、いつも治療を中断していたが、今回はきちんと全て治したい。
ご飯をきちんと食べたい。又、費用面であまり余裕がないので、色々提案して自分に合った治療をしてほしい。
出来るだけ安く、でも審美的に上は金属は見えない様に綺麗にしたいとのこと。
初診時、ほとんどの奥歯が虫歯と歯周病で残せない状態で、前歯でなんとか食べていた状態でした。
又、顎関節症にもなっており、一から噛み合わせを再構築する必要がありました。
抜歯は最小限行い、神経の治療や歯冠長延長術(虫歯などで小さく短くなってしまった歯をオペをし、残せる状態にしたり、審美的回復などに行う治療)を行い、歯周病治療をし、ブリッジやクラウン(かぶせ)で咬合回復を行い、ファイバーデンチャーという金属製のワイヤーを使わない入れ歯を装着しました。
ご本人はご飯の味が以前より美味しく食べられると喜んでおり、笑った時に入れ歯を入れてると気付かれないと、大きな口で人前で話したり、笑える様になったと満足されていました。
これからはメンテナンスにきて、大切に歯をしていきたいと、以前の歯医者嫌いもなくなりました。
![]() |
![]() |
|
<治療前> |
||
![]() |
||
![]() |
![]() |
|
| <治療後> | ||
歯茎が見えること、歯が丸くて小さい、歯並びを治したい、歯をまっすぐにしたい。
まず歯肉整形を行い、ラミネートベニアによる処置にて完了。
御本人はとても満足をされていました。
![]() |
![]() |
![]() |
||
<治療前> |
||||
![]() |
||||
![]() |
![]() |
![]() |
||
| <治療後> | ||||
上の前歯のすきっ歯がきになる。
前歯6本をラミネートベニアにて治療。
本人は思いっきり歯をだして笑える様になったと満足されていました。
審美的にはもう少し歯の先のラインを揃えたい所ですが、相談の結果今の形になりました。
![]() |
![]() |
|
| <治療後> | ||
上の前歯が飛び出してる出っ歯を綺麗にしたい。歯は抜きたくない。
下の前歯をホワイト二ングしたい。
下の前歯をホワイト二ングしました。上の歯は抜歯せずジルコニアにて治療しました。
また歯と歯茎の境目が不均一なので、歯肉成形をしました。
これにより左右対称な歯の形になりました。唇の形も治療前に比べ綺麗になりました。
![]() |
![]() |
|
| <治療前> | ||
![]() |
||||
![]() |
![]() |
![]() |
||
| <治療後> | ||||
噛み合わせがあってなく食事がしづらい。また、審美的に綺麗にしたい。
空気がもれて発音がしづらい。歯列矯正はしたくない。
まず本来この方の一番いい状態になるようにあらかじめシミュレーションした仮歯をつくり、ほとんど全ての歯を神経を残した状態で削り、ガムシェイプ(歯茎のオペ)をし、セラミックで治療しました。
治療後、今迄食べづらかった物が食べやすくなり、口もとが綺麗になり、発音がしやすくなりました。
![]() |
![]() |
![]() |
||
| <治療前> |
![]() |
||||
![]() |
![]() |
![]() |
||
| <治療後> | ||||
前歯がすり減って形がよくない。角張っている。
歯肉整形(ガムシェイプ)をし、ラミネートベニヤにて治療。
本来の素敵な口元になりました。
![]() |
![]() |
|
<治療前> |
||
![]() |
||
![]() |
![]() |
|
| <治療後> | ||
前歯の歯並びが気になる。 歯茎の形が非対称。
歯肉整形(ガムシェイプ)をし、ジルコニアオールセラミックにて治療。
![]() |
||
![]() |
![]() |
|
<治療前> |
||
![]() |
||
![]() |
![]() |
|
| <治療後> | ||
ごはんが食べづらく美味しく食べられない。
アゴが疲れる。舌を噛む。見た目が気になる。
この方は色々な歯科医院にいかれたが改善されないとの事で、当医院を受診。
かなり咬耗(歯がすり減っている)しており、バイトアップ(咬合挙上)を行い、全て神経を残した状態でジルコニアオールセラミックにて修復した。
噛み合わせをゼロから理想的な状態に治療。
それにより、主訴は全て改善され快適になったと喜ばれている。
ただ前歯の見える所は患者さんの希望によりそのままの状態で、ホワイト二ングと部分修復のみとした。
![]() |
![]() |
![]() |
![]() |
![]() |
| <治療前> | |
![]() |
||||
![]() |
![]() |
![]() |
||
![]() |
![]() |
| <治療後> | |
何回歯医者にかよっても、治らないと、紹介で当院を受診。
1日するとアゴが疲れて、どうしようもないくらい辛い。
食事が美味しくない。口臭がなおらない。虫歯はないといわれた。部分入れ歯が噛めない、落ちてくる。
噛み合わせが低くちゃんとした噛み合わせになっていない。虫歯がある。歯周病に罹患している。
患者さんと、相談した結果、フルマウスリハビリテーション(全ての歯の治療のやりかえと、咬合を再構築する)希望となりました。
まずは歯周病の治療をし、虫歯を全て取り、仮歯で、患者さんの本来持っている噛み合わせをつくり、上は全て残せる歯はセラミックブリッジにし、特殊なアタッチメントをつけ、入れ歯は薄くくりぬいた、違和感の少ない設計のチタンプレートとした。
下は一本をインプラントにし、残りの歯はセラミックのフルブリッジにした。
アゴのつかれ、ダルさもとれ、しっかりと噛めるようになったと、とても喜んでいます。
朝おきたら口が楽になり、口臭もなくなり、見た目も口元が、張りが出て若返ったと、大変喜んでいただけた。素敵な口元、歯並びになりとても綺麗になりました。
![]() |
![]() |
![]() |
||
| <治療前> | ||||
![]() |
||||
![]() |
![]() |
![]() |
||
![]() |
![]() |
![]() |
![]() |
![]() |
| <治療後> | |
歯並びを綺麗にしたい。出来るだけ最小限の治療で。
神経を残して出来るだけ最小限で素敵な歯並びになるようセラミックにて治療。
また、唇にずっとあった縦シワがなくなり綺麗な唇になり、口紅が綺麗に塗れて若々しくなりました。
![]() |
![]() |
|
<治療前> |
||
![]() |
||
![]() |
![]() |
|
| <治療後> | ||
20代女性
前歯の出っ張り、詰め物の変色、口紅が歯につくのが嫌。
2本の歯にセラミックの被せ物を神経を取らず修復しました。
見た目の出っ歯も改善され綺麗な口元になりました。
また唇の形も美しくなり、口紅もつかなくなりました。
![]() |
![]() |
|
<治療前> |
||
![]() |
||
![]() |
||
| <治療後> | ||
20代女性
左上の前歯(2番目)の補綴希望。変色。
他院にて以前に神経の処置がしており、土台にファイバーコア(グラスファイバー)を用い、ジルコニアオールセラミックの被せ物をしました。
自然感があり、どの歯を治療したか分からなくなりました。
![]() |
![]() |
|
| <治療後> | ||
20代女性
虫歯治療。
口を開けたときに下は奥まで銀歯が見えるのが嫌なので白くしたい。
変色しない材質希望。
銀歯が二次虫歯になっていたので、虫歯治療後セラミックの詰め物で治療しました。
![]() |
![]() |
![]() |
| <治療後> | ||
30代女性
歯ぐきのホワイトニングと歯のホワイトニング
クリニックにて行うオフィスブリーチングを行いました。
その後、歯ぐきに特殊なお薬によりガムブリーチング(歯ぐきのホワイトニング)
![]() |
![]() |
![]() |
| <治療後> | ||
40代男性
全顎的治療希望。ご飯が食べられない。顎がいたい。綺麗な歯で美味しくご飯をたべたい。
まず歯型をとり診査診断をし、最終的な状態を精査しそれにもとづき、インフォームドコンセントをし患者さんの希望に合う治療法を色々提案して治療に入りました。
まず残せる歯には虫歯と歯周病の治療をして、どうしても残せない歯は仕方なく抜歯をしました。
そしてバイトアップ(咬合挙上)を行いセラミックのブリッジにしました。
右下はインプラントを希望されていたので、抜歯後GBR(骨をしっかりつくる手術)を行いました。
インプラントまでファイバーデンチャー(金属のない入れ歯)をする予定です。
治療後、よくご飯が噛め、顎の痛みも無くなり、人前で歯を出して笑えるようになり、口臭も無くなり大変喜んでおられます。
![]() |
![]() |
|
| <治療前> | ||
![]() |
||||
![]() |
![]() |
![]() |
||
![]() |
![]() |
![]() |
||
| <治療後の様子> | ||||
40代男性
前歯上下12本(3〜3の上下)の歯並びを治したいが矯正はしたくない。
費用をあまりかけられないが保険ではしたくない。自然な感じにしたい。
全ての歯の神経を温存したまま、ジルコニア+ハイブリッド(金属なし)のクラウン(かぶせ)により治療を行いました。
これにより男性らしい綺麗な歯並びになり失われていた機能回復も改善されました。
下の歯ぐきの不揃いも気になりましたが、ご本人の希望でガムシェイプ(歯ぐきの手術)は行いませんでした。
![]() |
| <治療後> |
30代女性
上の前歯の動揺と歯並びの広がり、形を綺麗にしたい。
噛み合わせがかなり深く、下の歯が上の歯に余計な負荷がかかっている上、歯周病が進行しており、まず歯周病の治療をして、噛み合わせの調整をして安定してから、神経を温存したまま連結したジルコニアセラミックにて修復しました。
結果、歯の動揺は無くなり綺麗な歯の形になりました。
また、前歯の機能回復もした結果、下顎がスムーズに動くようになり楽になったそうです。
下の歯はいずれホワイトニングしていき、上の歯の色と同じようにしていく予定です。
![]() |
<治療前> |
![]() |
![]() |
| <治療後> |
50代男性
以前に右上1番の歯の欠損で、上の前歯2〜2の保険で作ったブリッジが動く、黄色く変色したのが気になる、歯ぐきの境目の露出した黒ずみ(メタルマージン)、 歯ぐきの境目の不揃いがある。出っ歯になってきた。
希望:歯の動揺を抑え、 自然な感じで、変色せず長持ちさせたい。
3~3(上の前歯)を神経を温存して、ジルコニアオールセラミックブリッジにて補綴しました。
また笑った時の歯茎の境目が不揃いをガムシェイプを行い、左右対象にしました。
又歯の形をこの患者さんに合う様につくり、機能回復も同時に治療しました。
結果、歯の動揺もなくなり素敵な笑顔を見せてくれる様になりました。
![]() |
<治療前> |
![]() |
![]() |
| <治療後> |
30代男性
前歯の反対咬合改善と歯の動揺がある。
口を閉じてると口元が凹ん でいる(いわいるディッシュフェース)。
歯並びも一緒に治したい。希望は最小限で一番効果のある治療と矯正はしたくない。
2~2のジルコニアオールセラミックにて反対咬合を正常咬合にしました。
結果、口元の歪みも無くなり綺麗な口元になりとても喜んでくれました。
咬合も同時に全体に調整してご飯が美味しくなったと喜んでくれました。
![]() |
||
<治療前> |
||
![]() |
||
![]() |
![]() |
|
| <治療後> | ||
![]() |
![]() |
![]() |
![]() |
![]() |
![]() |
![]() |

医院情報
診療時間
午前:9:30 〜 午後:1:00
午後:2:00 〜 午後:6:30
休診:土曜・日曜・祝日
電話
メールでのご相談※ご質問等はお電話にてお願いします。
住所
〒541-0054
大阪市中央区南本町4-1-1
ヨドコウビル7F
当院診療時間外・休日等の
急患の方は大阪府歯科医師会にて
対応しております。
夜間:06-6774-2600
休日:06-6772-8886



