良い治療は笑顔も
生み出します−

良い治療は笑顔も
生み出します−





当院でこれまで行ってきた症例についてご紹介しております。
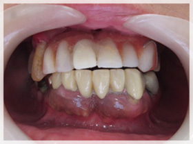
30代男性
右の前歯が虫歯で折れてるのと、真ん中の歯が広がってすきっ歯を治したい。
保険治療 希望
右の折れた歯は、根が残せる状態でしたので、コア(土台)を作り、2~2で保険適応の前装冠にて治療しました。
結果、すきっ歯も無くなり綺麗な歯並びになり、前歯で物が噛みちぎれるようになったととても喜んでくださいました。
今迄前歯がコンプレックスであまり口元を見せなかったらしく、これからはどんどん見せていくそうです。
![]() ![]() |
||
<治療前> |
||
![]() |
||
![]() |
![]() |
|
| <治療後> | ||
40代女性
オープンバイト(開口→噛んだ時に奥歯しか噛まず、前歯に隙間がある状態) で前歯で物が噛めない事、顎関節症になっており、顎が痛い、上下前歯の歯の隙間が気になる。
まず上下前歯12本をマウスピース矯正装置にてある程度矯正後、ジルコニア オールセラミックにて神経を残して補綴しました。これにより前歯で食べ物が噛みちぎれ、綺麗な歯並びになり隙間もなくなり口元が美しくなりました。
また顎関節症も、適切な噛み合わせを与える事で痛みもなくなり朝起きると楽になったと喜んでいただきました。
歯の色は元々の色を希望されており、治療した事が分かりづらい様に色合わせをしました。
![]() |
![]() |
|
<治療前> |
||
![]() |
||
![]() |
||
| <治療後> | ||
60代女性
金属アレルギー。本人のご希望で全ての金属をやり変えたい。
・他の虫歯も治したい。 ・予算内で治したい。 ・歯並びはそのままで。
患者さんとインフォームドコンセント後、予算も考慮の上、ジルコニア オールセラミックとハイブリッド セラミックにてやり変える事になりました。
金属アレルギーもなくなり、予算内で治療できました。
また治療前より綺麗になり、満足をされてました。
![]() |
![]() |
|
<治療前> |
||
![]() |
||
![]() |
![]() |
|
| <治療後> | ||
40代男性
・歯がすり減り短くなってしまった。
・噛み合わせが合っておらず、歯にヒビが入ってきている。
・上手く歯ぎしりが出来なく、奥歯に負担がかかりすぎ歯が短くなってきている事と歯周病の増悪因子となっている。
・一緒に歯を白くしたい。
上のすり減り、減ってしまった歯(3~3の6本)には神経を残して、6本ジルコニア オールセラミッククラウンにて、被せ物の治療を行いました。
また、下の歯はオフィスホワイトニング(病院にて行う歯を削らずに白くする方法)をいたしました。
あわせて、不正咬合だった状態も一緒に治療しました。
結果、歯を削る事に少し抵抗があったのですが、とても満足をされてました。
もっと早くすれば良かったと「綺麗になった口元と改善された噛み合わせ」で素敵な笑顔でした。
![]() |
![]() |
|
<治療前>(向って左側は本来の歯の状態の仮歯、右側は今の状態) |
||
![]() |
||
![]() |
![]() |
|
| <治療後> | ||
30代女性
歯科恐怖症例の為、治療の必要性を知りながら歯科医院への通院ができずにおり、当院に来院。
全歯にわたり虫歯が進行しており、歯周病も進行していました。
また、長期間虫歯を放置した事で、噛み合わせも悪くなり顔の歪みも見られます。
歯茎の黒ずみも気になりピンク色の健康的な色にしたいと。歯並びの改善希望。
笑った時の歯ぐきを綺麗にしたい。噛み合わせが低くなっており口元に張りがなくなってしまってる。
患者さんと相談の結果、咬合再構築、バイトアップ(咬合挙上)、歯茎のホワイトニング、ジルコニアオールセラミックによる審美回復と機能回復。
ガムシェイプ(歯茎のラインを外科的に綺麗に揃える治療)により全顎的に治療を行う事になりました。
まず、歯周病の治療から始めていき、口腔内の環境改善をし、診断用ワックスアップ及びプロビジョナルレストレーション(最終的な形態や機能回復及び審美回復を模型上で理想的な状態を作りそれを元に仮の歯を作る事)を作製して、実際に口腔内に仮の歯を順番にセットしていきました。
咬合挙上も行い、顎関節に順応しているか?
など実際の口腔と模型上では違うので、全てにおいて徹底的にチェックをしていきます。
問題無ければジルコニアオールセラミックに置き換えていきます。
またガムシェイプ(歯肉整形)、ガムブリーチ(歯ぐきのホワイトニング)も行いました。
1人の歯科技工士が最初から最後まで担当します。
クリニックに来てドクターと患者さんの3人もしくは衛生士の意見なども参考に口腔内も一緒にチェックしたり、患者さんの希望を聞きます。
全てのチェック後にジルコニアオールセラミックをセットしました。
結果、全てにおいて患者さんに満足のいく治療ができました。素敵な笑顔がみられ、歯医者冥利につきます。
![]() |
![]() |
![]() |
| <治療前> | <治療後> |
![]() |
![]() |
|
<治療前> |
||
![]() |
||
![]() |
![]() |
|
| <治療後> | ||
![]() |
||
<治療前> |
||
![]() |
||
![]() |
![]() |
|
| <治療後> | ||
![]() |
![]() |
|
![]() |
![]() |
|
<治療前> |
||
![]() |
||
![]() |
||
| <治療後> | ||
20代女性
以前に、他院で治療した審美のやり直しを希望し来院。
前歯のセラミックがだんだん歯茎がかぶってきて小さくなってきた事と笑うと歯茎がでる(いわゆるガミーフェイスと言います)事の改善。また歯を大きくして欲しい。
少し口を開けた時に歯が見える様にしたい。色を綺麗にしたい。
歯がペタッとしているのを独立感を出して欲しい。左右対象にしたい。
ガムシェイプ(歯茎の境目を揃えるオペ)を行い、クリニックに技工士立会いのもと、患者さんと色や形などを決めて元々4本のセラミックでしたが5本でジルコニアオールセラミックにて審美修復をいたしました。
結果、大変満足されて大きな口で笑えるようになりました。
![]() |
||
<治療前> |
||
![]() |
||
![]() |
![]() |
|
| <治療後> | ||
30代男性
歯並びを治したい。銀歯を白くしたい。噛み合わせを治して欲しい。
ワイヤーの矯正は時間がかかるのでしたくない。顎が痛い。お金がかかってもいい材料で治したい。
診断用の歯型をとり、この患者さんの問題点と改善すべき点をあらかじめ診断し、仮歯を装着して実際に適切かどうかを確認後、ジルコニアオールセラミックにて最終的に治療いたしました。
結果、綺麗な歯並びと噛み合わせが改善され、大変満足されていただきました。
また、顎が痛い(顎関節症)も治りました。
![]() |
![]() |
|
![]() |
![]() |
|
<治療前> |
||
![]() |
||
![]() |
||
![]() |
![]() |
|
| <治療後> | ||
30代男性
歯茎の黒ずみを綺麗にしたい。
特殊なお薬を用いて治療いたしました。
![]() |
||
<治療前> |
||
![]() |
||
![]() |
||
<治療中> |
||
![]() |
||
![]() |
![]() |
|
| <治療後> | ||
70代男性
保険の入れ歯を違うもっと快適で綺麗に見える入れ歯にしたい。
出来るだけ入れ歯に見えない入れ歯にしてほしい。
チタン(生体親和性に優れるもの)を使い、できるだけ薄くかつ入れ歯の範囲を少なくする為にホーシュータイプの設計にいたしました。
また、通常人工歯は硬質プラスチックで、作るのを今回見える所はポーセレン(セラミック)歯を用いる事で自然な色合いをだすことで入れ歯に見えない様に作りました。
![]() |
||
<治療前> |
||
![]() |
||
![]() |
![]() |
|
| <治療後> | <左が保険の入れ歯、右が金属を用いたメタルプレート(自費)> | |
40代女性
1:虫歯の治療と歯周病の治療
2:顎の痛み(顎関節症)
3:審美的回復 (全体に歯を綺麗にしたい、歯並びを治したい、顔の歪みを治したい)
4:噛み合わせを治したい 昔から気にしていた
(正しい診断をする為に、歯型をと取ったりレントゲンや色々な写真を撮ります。また顎の位置や噛み合わせの細かな診査をします)
問診を詳しくします
・ 歯並びが良くない事で、顔の歪や顎の痛みの原因の1つになっている。
・噛み合わせに色々な問題点があります。
・普段の歯に悪影響を及ぼす生活習慣があります
・上下の歯列に正中のズレもあります
・歯茎のラインが揃っておらず左右対象になっていない、
インフォームドコンセント→
診断結果と治療法について御本人に色々な治療法の選択肢を詳しく説明をし、納得いく方法で今後の治療法を決めていきました。
当然、その中には費用の考慮や期間やメリット、デメリットについても説明をして御本人の納得いく方法で治療をする事になりました。
矯正は希望されず、短期間で美しく、美味しく噛める噛み合わせ、虫歯や歯周病の再発のしづらい材質の希望、顎関節症例の改善が希望。
ジルコニアオールセラミックにて全額全歯の補綴矯正(歯を削り冠を被せて治す方法)を希望されました。
治療 1:
まず模型をつかい診断用ワクシングをして最終的な状態を噛み合わせや審美的回復のシミュレーションを行いそれを元にプロビジョナルレストレーション(仮歯)を作ります。
仮歯とは歯を削り斬間的(一時的)に歯に被せる白いプラスチックの様な歯です。
↓
治療2:
全ての歯を最小限削り、仮の歯にかえます。
またガムシェイプ(歯茎を綺麗に揃える治療)をします。ここで最終的な全ての調整やチェックを行い、問題がないか?改善されているかをチェックします。また、担当の技工士と患者さんと3人で細かな所の指示や要望を実際に患者さんを見ることで伝わりづらい事を伝えます。
↓
治療3:
最終的な型どりをし全歯28本にジルコニアオールセラミックをセットしました。
患者さんは見た目の美しさと良くなった噛み合わせや顔の歪みがなくなった事、顎の痛みが無くなっている事にとても満足されていました。
またご家族からも喜んでもらったと言われ歯医者みよりにつきる御言葉を頂きました。
↓
治療4:
定期的にメンテナンスをこれからはしていき、一本でも大切な臓器の一部でもある歯を患者さんと一緒にチェック、プロフェショナルケアしていきます。御本人も前みたいにもどりたくないと丁寧にお家で歯ブラシ(ホームケア)をしています。
予防にはお家でのホームケア(患者さん自身の正しいブラッシング歯磨き)と病院でのプロフェッショナルケア(プロが行うクリーニング)の両方が大切です。
より正しくお家で歯磨きしていても必ず手が届かない箇所があります。それをプロのケアで予防していきます。
![]() |
![]() |
|
![]() |
![]() |
|
![]() |
![]() |
|
<治療前> |
||
![]() |
||
![]() |
![]() |
|
![]() |
![]() |
|
![]() |
||
![]() |
![]() |
|
| <治療後> | ||
30代女性
今迄、保険治療の材質で何回も同じ歯が虫歯になり、その度に歯を削り詰め直す治療が嫌で今回は虫歯になりにくい良い材質でのやりかえの希望で来院されました。
また以前通院していた歯医者では保険治療と自費治療の説明がなく当たり前の様に保険だったので、違いをきちんと説明してほしい。希望は下記
1、治療した歯が虫歯になりづらい事
2、出来るだけ長期間変色したり劣化しない事
3、見える所は出来るだけ白くしたいが見えない歯は虫歯になりにくい事
4、金属アレルギーになりたくない
![]() |
<治療前> |
インフォームドコンセント:
当院では保険治療自費治療の違いについて基本的に全員の人に行っております。
お口の中に入る物でどんな材質か違いを理解して頂いてから御本人の意思で選んで頂いております。臓器の一部になるわけですから当たり前ですよね!
どんな材質の物が歯に使われているか知るのは。
![]() |
![]() |
<治療後> |
全ての材質の違いについて説明を行い、ジルコニアオールセラミッククラウン(かぶせ)、白金の詰め物、セラミックの詰め物を選ばれました。全て自費になり高額になりましたが、健康や今後の事を、考えられ決められたとの事です。
*詳しい説明は実際に見本や説明表にて患者とお話ししながらしております。
歯石とりやpmtc(プロによるクリーニング)を術前に行いピカピカになった真っ白な歯と痛くない歯石とりにびっくりされていました。
当院では衛生士が1本づつ丁寧に歯にこびり付いた歯石(見える歯石と隠れて見えない歯石)を完璧に取り除いています→虫歯と歯周病の原因となります
これからは痛くなくても予防に定期的チェックとクリーニングに来院するそうです。
*素晴らしい事です。予防に優る治療はありません
20代女性
前歯の破折の治療と審美回復
前歯の破折により来院。破折歯は神経が取ってある歯であり、又、隣の歯2〜2の歯も以前に神経を取ってありCR(白いプラスチックの詰物)にて修復されていた。
変色も見られ2〜2の4本の治療希望となりました。
通法通り神経の無い歯にはコアという土台を作り冠というかぶせる治療にて治療しました。
材料には患者さんと相談の結果、ファイバーコア(金属ではないグラスファイバーの様な白い歯に優しい材料)と
ジルコニアオールセラミックにて修復することになりました。
![]() |
![]() |
|
<治療前> |
||
![]() |
||
![]() |
![]() |
|
| <治療後> | ||
30代女性
前歯のすきっ歯を治したい
まず診査診断をおこない、マウスピース矯正にて治療しました。
数回で綺麗になりました!興味のある方はご相談ください。
![]() |
![]() |
|
![]() |
||
<治療前> |
||
![]() |
||
![]() |
![]() |
|
| <治療後> | ||
30代女性
下の前歯のすきっ歯がずっと気になっていて、治したい。
矯正はしたくない。
上の歯の形も気になる。
顎が開きづらい。
出来るだけ自然に見えて、長持ちする材料希望。
まず口が開きづらい原因を診査診断し、噛み合わせの調整をしました。
次に下の前歯をジルコニアオールセラミックにて全ての歯の神経を残した状態で治療しました。
上の歯は、形態修正のみで綺麗になりました。
最終的に審美的にも噛み合わせも、満足していただきました。
また口が開くようになってきたと喜んでくださいました。
今迄下の前歯のコンプレックスにより隠そうとしてまだ笑顔がぎこちないですが、トレーニングをすれば素敵な笑顔の口元になります。
![]() |
![]() |
|
<治療前> |
||
![]() |
||
![]() |
![]() |
|
| <治療後> | ||
30代男性
1.歯が歯周病でグラグラして噛めない
2.綺麗な歯にしたい、噛み合わせを治して美味しくしっかりとゴハンを食べたい.
3.歯や治した後の状態を長持ちさせたい
4.口がいつもネバネバして気持ち悪い、など
なかなか歯医者に行かずにいたため、まだ30代という若い年齢で全体的に歯周病がかなり進行しており抜歯をしないといけない歯がある。
また残せる歯にも歯石がびっしりついている。噛み合わせがちゃんとしておらずそれぞれの歯の機能もしていない。
まずインフォームドコンセントをしっかりとし、フルマウスリハビリテーション(全体的に上下の全ての治療)が必要である事と治療法についても選択してもらい、ジルコニアオールセラミックブリッジの希望となりました。
<実際の治療の流れ>
![]() |
![]() |
|
![]() |
![]() |
|
![]() |
||
<治療前> |
||
![]() |
||
![]() |
![]() |
|
![]() |
![]() |
|
![]() |
![]() |
|
| <治療後> | ||
40代女性
1.歯が痛くて物が噛めない
2.入れ歯が合わず痛くて噛めないのとはずれて恥ずかしくて人と話しができない
3.見た目も治したい(具体的には口元が歳より老けて見えて嫌、下顎が出て上唇が凹んでる)
4.限られた予算の中で一番良い方法で綺麗によく噛めるようにして欲しい
5.口臭がする
まず診査診断用の歯型や色々なチェックをしてし、残っている歯の歯周病検査や虫歯のチェックをし、問題点と改善点をみつけ、予算内でベストな治療方法を提示し、患者さんとじっくりとお話しをし最終的な治療方法を決め進めていくことにしました。
![]() |
![]() |
|
![]() |
![]() |
|
![]() |
![]() |
どうしても歯周病で保存不可能な歯は抜歯しましたが、一本でも大切な歯なので残せる歯に特殊なかぶせ物をし、上下とも入れ歯となりました。入れ歯の安定としっかりと落ちてこない様にしました。
患者さんと相談し最終的に上は装着感が良い金属床、下は保険の入れ歯となりました。
また今回は噛み合わせを1から作り直す必要があり、そのためにはトリートメントデンチャー(治療用入れ歯)を作り、これは最終的な入れ歯の完成度を高めるためや、新しい入れ歯を作成中に食事が取れないと困るために一時的に使う入れ歯の事です。
そして当院では担当技工士をクリニックに呼び、患者さんの希望や色々な細かな修正を出来るようにしております。
結果、患者さんによく噛める、口元が良くなったと、顎の痛みが取れた、口臭が無くなった、また予算内で満足して頂く事ができました。
![]() |
![]() |
|
![]() |
||
30代男性
自転車で転んで、前歯が折れたのを綺麗に治して欲しい
来院されたときは傷だらけで救急病院にて顔の治療したばかりでした。
何本か歯が折れており神経が露出しており息をするだけで痛くて我慢できない状態でしたので、まず神経の治療を行い、痛みをとりました。不幸中の幸いで抜歯をしなくていい位の破折でしたので、患者さんと相談してジルコニアオールセラミックにて修復することになりました。
![]() |
![]() |
|
![]() |
||
![]() |
![]() |
![]() |
|
![]() |
||
30代女性
口内炎ができたので診てほしい。なかなか治らない。痛くはない。
明らかに口内炎の状態ではなく、インフォームドコンセントの結果、口腔外科にて確定診断をしてもらう事にしてもらいました。
唾液腺にできる 粘液腫(良性)であり切除をして治癒しました。
このように自分では口の中に何かできたら=口内炎、と思い込まず歯科医院にてきちんと診察してもらう事で違う病気の発見につながります。何か異常があれば歯科医院の受診をおすすめします。
![]() |
30代男性
右上前歯が1本だけ色が目立つ事と、左上の歯が神経がなく黒っぽくなってきた、段々と出っ歯になってきたのとぐらつきが気になる。
![]() |
![]() |
噛み合わせの調整をし、出っ歯の原因をとり、ジルコニアオールセラミックとファイバーコア(白い土台で歯に優しい)にて治療することにしました。
![]() |
60代 男性
この方はメンテナンスで治療後も予防の為に定期的にクリーニングとチェックに来られている方です。
ご本人は全く気づいてなかった痛みのない白色の病変について、口腔外科にて受診をすすめました。
案の定 白板症(放置するとガン化する可能性のあるもの)でした。
早期発見でしたので、口腔外科にて切除処置と生検で済むそうでした。ご本人も安心した様子でした。
引き続き定期的にメンテナンスに来るそうです。
![]() |
![]() |
![]() |
![]() |
![]() |
![]() |
![]() |

医院情報
診療時間
午前:9:30 〜 午後:1:00
午後:2:00 〜 午後:6:30
休診:土曜・日曜・祝日
電話
メールでのご相談※ご質問等はお電話にてお願いします。
住所
〒541-0054
大阪市中央区南本町4-1-1
ヨドコウビル7F
当院診療時間外・休日等の
急患の方は大阪府歯科医師会にて
対応しております。
夜間:06-6774-2600
休日:06-6772-8886



