良い治療は笑顔も
生み出します−


良い治療は笑顔も
生み出します−






当院でこれまで行ってきた症例についてご紹介しております。
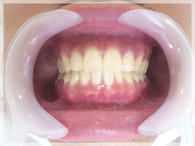
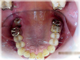
40代女性
ちゃんと噛めない、歯が弱いから治したい、歯が無いからなんとかしたい、歯を見せて笑いたい、顎が痛い
まずは今の状態の説明し、どんな治療法があるかをじっくりと相談しました。
*上はセラミックのブリッジとワイヤーのないアタッチメントを用いた薄いメタルプレー と(金属の入れ歯)に。
*下はセラミックのブリッジを左右にそれぞれ入れる事に。
1:まずは歯周病の治療を徹底的に行い歯をできるだけいい状態にしてから、同時に治療が終わるまでの仮の歯(仮歯)を作り噛める様にしました。上の歯は残せない状態でしたので1本だけ抜歯をしました。
2:上下の仮歯にした状態で、この患者さんに合っているか?を全てのチェックして調整しました。
3:最終的に決めた材料に置き換えました。
ちゃんとなんでも噛める様になったのと、審美的回復にも大変満足していただきました。
口元のハリも出て、唇がちゃんと出てきたと喜んでいただきました。
また顎の痛みもこの頃には無くなりました。良かったです。
1つ患者さんにお願いしたのは今迄コンプレックスにより口元を閉じる癖をやめていただき、歯を見せて笑顔を見せる練習をしてもらうようにしていただいたら素晴らしい笑顔になりました。
☆治療が終わり、これからは長くいい状態を維持し悪くならない様に1番大切な[予防とメンテナンス]にもくるそうです。次回の笑顔が楽しみです。
![]() |
![]() |
|
![]() |
![]() |
|
![]() |
![]() |
|
![]() |
||
![]() |
||
![]() |
![]() |
|
![]() |
![]() |
|
60代 男性
だいぶ前に他院で治した保険の前歯のブリッジの歯が折れた、綺麗に治したい。
この患者さんはかなり昔に当院にてファイバーデンチャーを上の左右に作った患者さんで、今でも大切に使ってくださってくれてました。久しぶりの来院ですが、嬉しいですね。
さて、本題の前歯ですが、1本ブリッジの支えとなっている歯の破折がありました。
ただ残せる状態でしたので、歯冠長延長術というオペをし、破折してる歯根を土台として使えるようにしファイバーコアというグラスファイバーの様な物で歯に優しい材料で補強しました。
ただ、今までのブリッジの設計では保たない事を昔に説明していましたので、3〜3の計6本の設計のブリッジにし、相談し材料は保険ではなく自費のセラミックに今度はすることになりました。
他の虫歯治療と歯周病治療も希望されていたので、保険にて全て治療を行いました。
前より綺麗でガッチリしたと喜んでいただきました。
またセラミックのツルツル感と天然歯とわからないような材質にとても満足されていました。
良かったですね。 これからは予防とメンテナンスにちゃんと来るそうです(笑)
![]() |
![]() |
|
![]() |
![]() |
|
![]() |
60代 男性
他の歯医者で作った睡眠時無呼吸症候群のプレートがイマイチ調子悪いので作り直して欲しい。
まずはプレートは長く使う物なので、口腔内の虫歯を全て治療後にプレートを作成することになりました。
全ての虫歯と歯周病は保険で治して、睡眠時無呼吸症候群の診断書がありましたのでプレートも保険で作りました。
患者さんからは歯も綺麗になって、虫歯も全て治療し、プレートも今までよりもものすごく調子がいいと言って頂きました。
![]() |
||
![]() |
![]() |
|
| 治療前の口腔内とプレート | ||
![]() |
![]() |
40代男性
左上の犬歯が折れた。
折れた位置が歯茎の中でしたので、歯冠長延長術(歯茎に入り込んだ歯を残せるように出 してくる処置)をし、土台にファイバーコアをつくり、ジルコニアオールセラミックにて修復しました。
患者さんは大変綺麗になり、また噛み合わせも良くなり満足して頂きました。
![]() |
![]() |
![]() |
20代 女性
1.上の前歯の黒く変色した歯を綺麗にしたい
2.口から歯が飛び出してるし出っ歯気味
3.笑った時の歯並びを治したい
4.噛み合わせも悪いから噛みづらい
5.口を閉じても歯がでる
まずこうなった原因を調べ、その原因を取り除いたあと最終的に上の前歯4本のみをジルコニアオールセラミックにしました。
患者さんは大変綺麗になり、また噛み合わせも良くなり満足して頂きました。
![]() |
||
![]() |
![]() |
|
![]() |
||
![]() |
![]() |
|
40代 女性
金属を全てセラミックに変えたい。歯の汚れを取りたい(歯石や茶しぶが気になるので)。
歯石除去+エアーフロー+PMTC により本来のご自身の歯の状態になりました。
さらに白くしたい場合にはホワイトニングをすれば今以上に白くなります。
![]() |
![]() |
![]() |
![]() |
20代 女性
左上 1 番の痛み、鼻の下辺りが腫れた。歯の形を左右綺麗にしたい。長持ちする材料がいい。
まず痛みの原因の治療をしました。以前に神経の治療をしたらしく、その歯の根の先に 病巣が出来ており神経の再治療をしたあと、ジルコニアオールセラミックを選択希望されましたので、その様に治療を行いました。痛みもなくなり、美しくなりました。患者さんに大変喜んでいただきました
![]() |
![]() |
60代 男性
物がかめない、歯がすり減ってきて痛い、美味しくご飯が食べたい、口元が老けて見える、保険での治療希望
上下の歯が擦り減り歯茎とかんでいる。割れてる歯があり何本かは神経が出てきてしまった歯もあり。歯が擦り減った事で本来の噛み合わせが失われており、口元が老けて見える
まず、最初に患者さんとのインフォームドコンセントで全て保険治療を希望されていたので、治療計画を作成し納得していただいてから治療を始めました。
残せる歯は最大限残して治療をし、残せない歯を仕方なく抜歯をし、噛み合わせの状態を本来の理想的な高さになるよう治療をし、最終的に上に入れ歯を作りました。
痛みも無くなり、ちゃんとご飯が美味しく食べれるようになって大変満足されました。また口元に張りがでて若返ったと笑顔がふえました。初めての入れ歯でしたのでつけてもらえるかが心配でしたが、きちんとつけてくださっております。
![]() |
![]() |
|
![]() |
![]() |
|
![]() |
![]() |
|
![]() |
||
20代男性
上下の前歯の歯並びをマウスピース矯正したい
最初に診査を行い、あらかじめ何回かかるかを診断し、患者さんに説明をして
マウスピース矯正をはじめました。
とても綺麗になり、患者さんも満足されました。
![]() |
![]() |
|
![]() |
||
![]() |
![]() |
|
![]() |
||
30代女性
歯科恐怖症で今まで放置していたが、HPをみて今回はちゃんと治そうと決心してこられました。希望は、とにかくちゃんと噛めて見た目も治して欲しい。少しでも長持ちする材料を使ってほしい。下の3本はそのままにしたい。毎日でもいいから出来るだけ早く治したい。
出来るだけ1本でも残せるように治療をし、仮歯に全て変えていき。噛みやすいか?見た目はどうか?などを念入りにチェックして、患者さんの希望を聞き最終的な材料はジルコニアオールセラミックになりました。
しっかりとご飯を食べれて美味しさがましたと、また見た目も若返ったと、とても喜んで下さいました。全く違和感も無く快適になったとこれからはメンテナンスに来て定期的なクリーニングとチェックをしていく事になりました。又、当初言われてた歯科恐怖症もなくなったそうです。よかったです。
![]() |
![]() |
||
![]() |
|||
![]() |
![]() |
|
![]() |
![]() |
|
![]() |
||
40代男性
噛み合わせと綺麗に治したい。つぎはぎの様な状態を芸能人のような歯にしたい。
患者さんとインフォームドコンセントを充分にとり、メリットデメリットの説明をしました。患者さんの意思は固く治療を行いました。ジルコニアオールセラミックを希望されました。結果、大変喜んでもらえました。見た目だけでは無く噛み合わせも良くなったと。また基本治療の歯周病治療もあらかじめおこない、これからはメンテナンスしてく大切さを理解していただきました。
![]() |
![]() |
![]() |
![]() |
20代男性
他院にて歯周病で抜歯して、ブリッジで治したい。
患者さんと材料についてや治療について相談して、保険治療希望となりました。
上下に何本かづつの歯の欠損がありましたので、ブリッジが長持ちする様な設計にして治療しました。患者に満足していただきよかったです。これで歯を出して思いっきり笑えますね。
![]() |
![]() |
![]() |
30代女性
右上2番の違和感とクリーニング。
右上2番の違和感の原因は神経が壊死しており、根の中と根の先に病巣ができていて起きた状態でした。
ずっと違和感があったが気にせず、腫れてきたので来院したそうです。
最後に歯医者に受診したのは相当昔だったため、、本人は根の病気について全く知らなかったそうです。
まずはきちんと今後の治療法などを説明をしてちゃんと治る病気であり、
又、クリーニングについては、歯周病の事についても聞いた事があると言う位でしたので、きちんと説明をして納得していただき治療をスタートしました。
※ほとんどの成人は歯周病に罹患しています。ほとんどが症状が穏やかで自分が歯周病と思ってる人はごく僅かなのが現実です。サインは出てます!
例えば
1.ハグキからの出血、
2.何時もではないが時々歯がしみる時がある、
3.歯が浮いてるような感じがする時がある、
4.口の中がネバネバする、
などが典型的な症状です。
治療についてです。まず根の治療を通法どおりにきちんと終わらせて→土台はファイバーコアをつくり→ジルコニアオールセラミックにて修復しました。
この方は他にも治療が必要な歯がまだありますが、定期的なチェックとメンテナンスをしながら経過を診ていく事を希望されたので、現在は定期的にチェックしている状態です。
![]() |
![]() |
![]() |
![]() |
20代女性
ホワイトニング
2回クリニックにてオフィスブリーチをしました。患者さんはかなり白くなったと満足されました。
![]() |
![]() |
40代男性
上の歯の前歯が出っ歯を治したい。だんだんひどくなってきた。またすり減った歯を綺麗にしたい。クリーニング。
診断の結果、かなりの程度で前歯が出て来てしまっていたので患者さんとお口全体の噛み合わせから、そうなってしまった原因などについてと、治療法について幾つか提案をし最終的に患者さんは、マウスピース矯正である程度矯正をしてからジルコニアオールセラミックでの審美回復を望まれました。また原因の中で全体の歯が咬耗してすり減ってしまった状態を本来の状態に治しました。
以前より噛みやすくなった、顎が疲れなくなった、見た目も良くなり唇が閉じる様になったと審美だけでなく、きちんと噛み合わせも治す事でより快適になる事が大切です。
現在はメンテナンスにきちんとこられています。
![]() |
![]() |
|
![]() |
||
![]() |
![]() |
|
![]() |
||
60代女性
1.噛むと入れ歯が外れる
2.口元が凹んで張りが無く美しくない。老けて見える
3.歯並び悪い
4.入れ歯を入れると嘔吐反射(えずく)
5.作ってもらった歯医者で何回も調整したが、治らないので当医院に来院。
6.左下の歯が無いとこに快適な入れ歯を作りたい
7.美味しくご飯を食べたい
とても難しい症例で骨格的に顎の上下が逆転してしまっており、まずは患者さんに状態を説明して、インフォームドコンセントをしっかり行い治療を進めていく事になりました。
まずは、いきなり最終的な入れ歯をすぐに作るのではなく、まず治療用の入れ歯をつくり調整しながら一番ベストな状態にし、最終的には上の2本残せる歯にマグネットを用いて、チタンの入れ歯をつくりました。また左下には、ファイバーデンチャーにしました。ワイヤーが無く入れ歯に見えないのと装置感があまりないと喜んでいました。主訴は改善され満足とのこと。また、継続してメンテナンスにこられております。口元が素敵になりましたね
![]() |
![]() |
|
![]() |
||
![]() |
![]() |
|
![]() |
![]() |
|
![]() |
![]() |
|
60代男性
海外勤務での治療のやり直しを希望。
1.噛み合わせが良くない。
2.口元が老けて見える。
3.長い食事をしていると疲れてきてしまう。
4.治療した歯が痛い時ある。
5.見た目がよくない。出っ歯になってきてる。
6.とにかく綺麗に噛み合わせも改善したいのと、全ての歯を治して欲しい
まず診療診断をし、患者さんに主訴の原因や治療法などについて説明をし患者さんの要望などををきき、十分に相談して最終的な治療法と治療材料が決まりました。なぜなら、1本でも大切な臓器の一部ですから!
治療は、噛み合わせの高さをまず改善して、仮歯で調整しながら様子を見てちゃんと噛めて見た目がよくなったか?また顎の痛みは消えたか?などその他にも色々チェックをして問題ない事を確認したあとに、患者さんの当初の希望で奥歯は保険のクラウンにし、見える所は自費のハイブリッドセラミッククラウンにしました。
結果 全てにおいて改善され大変満足していただきました。これからはここまで放置せずに今の状態を維持していく為にメンテナンスをしていく事になりました。
定期的なクリーニングとチェックをしていく事で良い状態が保たれます。治療前の悪くなってしまった状態に戻らないようにお口の中の環境を!改善していく事が予後に影響していきます!!
予防に勝る治療はありません!!悪くなる前、悪くなってしまったとしても定期的メンテナンスを受けていたらすぐに対応でき、最小限の治療ですみます。
これからは予防歯科を積極的に活用しましょう!!
![]() |
![]() |
|
![]() |
![]() |
|
![]() |
![]() |
|
![]() |
![]() |
|
![]() |
![]() |
|
![]() |
||
50代男性
下の左右のブリッジが噛みづらいのでやり直ししてほしいのと、前歯のぐらつきと綺麗にやり直ししてほしいと来院
まず上の金属床の総入れ歯はとても上手に良く作られており、特にそのままでいいこと。下のブリッジはまず
1.噛み合わせが合って無い点、
2.咬合高径高さが低くなっており合って無い点、
3.ぐらついているなどの状態でした。患者さんとインフォームドコンセントを十分にし、左下のブリッジの支えた8番(親知らず)は膿んでおり支えてる骨もなくなってしまっており抜歯になりました。反対側の右下8番(親知らず)はまだ残せる状態なので残すことにしました。歯が無い箇所はインプラントを希望されたので、CTを撮り診断し左右に2本ずつ計4本のインプラントをしました。また、残ってる前歯はジルコニアオールセラミックを希望されたので計8本の連結したものにし、ぐらつきは全く無くなりました。結果、なんでも美味しく食べれる様になりましたと患者さんに満足していただきました。
![]() |
![]() |
|
![]() |
![]() |
|
![]() |
![]() |
|
![]() |
![]() |
|
![]() |
||
50代女性
右上の1番が動揺してる。口臭治療。
右上の1番は他院にて神経の治療(根管治療)をしてましたが、根っこの先に感染があり骨も吸収してましたので、再根管治療の必要性を説明して治療しました。また動揺については隣の歯も噛み合わせによるものもあり、負担を減らす為に正しい噛み合わせにしてから、上の前歯2〜2の4本連結のジルコニアオールセラミックにて治療しました。
また口臭については歯周病の治療をして全くなくなりました。
☆虫歯や歯周病は慢性疾患であり、症状が出てないが進行している事に気づきづらい厄介なくせ者です。痛く無ければ大丈夫という疾患ではありませんので。定期的にチェックしてもらうことが早期発見、早期治療につながって歯が長持ちします。
![]() |
![]() |
|
![]() |
||
50代男性
この方は初診時の主訴のみと最小限の治療後、定期的にメンテナンスに来られている方です。ブリッジの歯の破折した。
最初に全てのインフォームドコンセントをしっかりした上でしたので、歯が折れて来た時は患者さんも分かっており、古いブリッジの無理な設計と元々の噛み合わせのズレが原因ということも理解しており、希望は入れ歯は絶対に嫌でブリッジにして欲しいというものでした。
この方のお口の状態はすでに把握してましたので患者さんに適切なブリッジの説明を設計し、治療にすぐかかる事になりました。
保険希望でしたが、ただ今回のブリッジは保険適応外でしたので、保険と同じ様な材料を使いブリッジを作りました。また同時に、噛みやすく、美しく、長持ちするように補綴矯正もしました。
美しくなり噛み合わせも良くなって満足していただきました。
![]() |
![]() |
![]() |
![]() |
![]() |
![]() |
![]() |
![]() |
![]() |
![]() |

医院情報
診療時間
午前:9:30 〜 午後:1:00
午後:2:00 〜 午後:6:30
休診:土曜・日曜・祝日
電話
メールでのご相談※ご質問等はお電話にてお願いします。
住所
〒541-0054
大阪市中央区南本町4-1-1
ヨドコウビル7F
当院診療時間外・休日等の
急患の方は大阪府歯科医師会にて
対応しております。
夜間:06-6774-2600
休日:06-6772-8886



