良い治療は笑顔も
生み出します−


良い治療は笑顔も
生み出します−






当院でこれまで行ってきた症例についてご紹介しております。
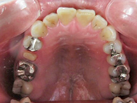
20代男性
左上1と2を綺麗になおしたい。反対側の右上1と2と左右対象にして欲しい。
左上1と2はジルコニアクラウンを反対側1と2は削るにはもったいないので表面に保険適応のコンポジットレジンにてベニヤの様に作りました。
とても綺麗になりました。患者さんも思ったより安く出来た事と歯をあまり削らない方がいいという説明を理解して頂き満足して頂きました。
![]() |
![]() |
![]() |
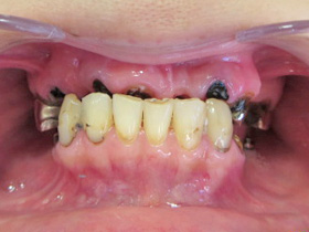
20代女性
今まで歯科が怖くて行けず、放置していた。前歯が痛くて来院。奥歯でも噛めず、前歯も綺麗にしたいと来院。今回は完治したい。
最初にインフォームドコンセントをしっかり行いました。それは、患者さんの協力無しでは治療はできません。本気で治したい!自分の歯ですから!と歯医者まかせではなく、歯科治療は患者さんとドクターとの共同作業になりますから。
まず虫歯で壊れている歯は根の先まで膿んでいたため、根管治療後、歯肉整形をしファイバーコアを使い土台を作りました。全ての歯を抜かずに残す事ができました。被せ物はメタルボンドを希望されてましたのでメタルボンドにて修復しました。この方は元々開口(オープンバイト)であった為上下が噛んでなかったため下の歯が生えてきた時と同じ形態を維持してたため審美的に上の歯並びをどうしたいかを相談したら下と同じ様に元々の状態に回復して欲しいと希望されましたので、その様に治療しました。奥歯も保険にて全て治療完成しました。
患者さんはちゃんと噛める様になった事と、長年放置してて無かった前歯が入りすごく喜んでもらえました。これで口元を気にしないで大口でも笑えますね。
![]() |
![]() |
|
![]() |
![]() |
|
![]() |
||
![]() |
![]() |
|
![]() |
||
60代女性
前医院で作った入れ歯が合わず、食事の時外してる。噛みずらい。
説明が全く無く治療が進んでいったため、今の状態が普通なのかわからない。
とにかく噛みやすく、歯を長持ちさせて欲しい。
まずは今の状態での不満や希望を聞き、治療方針について繰り返し、ステップごとにインフォームドコンセントをしました。それは前医からの説明が全く無かった為に患者さんが分かりやすい様に細かく説明し質問に対して答えていきました。本来ならインフォームドコンセントをしっかりとし患者さんが理解し納得して治療というのは始めていくものです。
治療はきちんと噛める様にする為には、咬合再構築(かみ合わせを0から作り直す治療)が必要であり治療方針や保険か自費などを何回か説明し、納得して頂きましたので。後は治療を進めて行きました。
上の入れ歯は保険にて作成しました。右下はワイヤーの無いファイバーデンチャーのいれ歯にし、左下は弱い歯なので少し仮歯のブリッジにて経過を見ていく事にしました。
とても噛みやすくなり、見た目も良くなったととても満足していただきました。
![]() |
![]() |
|
![]() |
![]() |
|
![]() |
![]() |
|
![]() |
![]() |
|
![]() |
![]() |
|
![]() |
![]() |
|
40代女性
接客業でお話しする事が多いので、上の前歯をとりあえず作って欲しい。
残っている歯は治療してできるだけ抜歯しないで残しました。ただ欠損歯が多くブリッジは出来ない状態であり、予算的に保険の入れ歯を希望されました。口元に張りが出て若返りました。くちびるのシワは長年の歯の欠損によるもので、これからはトレーニングしていけばシワは消えていきます。
人前で思い切り笑える!と喜んでくれました。
![]() |
![]() |
|
![]() |
||
![]() |
![]() |
40代女性
上の前歯の歯並びをセラミックで治したい。右上の歯抜けに見える奥まった歯が邪魔で抜いて欲しい。最小限の治療でブリッジ希望。
矯正を最初勧めましたが、時間がかかるのは嫌ですぐにでも抜歯して審美治療をして欲しいとのことでしたので。きちんとインフォームドコンセントを時間をかけてメリットとデメリットについて説明し充分に理解してもらえたので、補填矯正=審美治療をすることになりました。
あらかじめに最終的なブリッジ形態をした仮歯を作り、しばらく仮歯の状態で慣れてもらい、審美的や噛み合わせや装置感に慣れたので、ジルコニアオールセラミックブリッジにしました。
![]() |
![]() |
|
![]() |
||
![]() |
![]() |
20代女性
① どの歯か分からないが、左の奥歯が上下触るとすごく痛い
② 顎の関節が痛い
③ 前歯で物を噛めない
④ 歯ぎしりと食いしばりをなんとかしたい
⑤ よく同じ所のほっぺを噛む
⑥ 犬歯がすり減ってる
まず診査診断をきちんとして原因と治療について充分にインフォームドコンセントを行い、納得していただけたため、治療を完結し① 〜 ⑥の主訴は全て改善されました。
特に見た目が改善された事、顎の痛みが無くなった事、前歯で物が咬めるようになった事など、今までになかった快適な状態に、なかば諦めていた状態から改善されて患者さんにはとても喜んでいただきました。治療後は予防の為、定期的にメンテナンスに来院されています。
![]() |
||
![]() |
![]() |
![]() |
||
![]() |
![]() |
|
![]() |
![]() |
|
30代女性
出っ歯の改善と歯並びを綺麗にしたい。歯周病で歯の隙間が出てきた。歯が長くなった。
フルジルコニアクラウンにて治療をしました。
口元が若返り美しくなったととても喜んでもらえました。これからはメンテナンスに来られて予防が大切です。
![]() |
![]() |
![]() |
|
![]() |
||
20代女性
ずっと左側の歯か顎かわからないけど、噛む時痛い。噛みづらい。
顎がガクガクして痛い(他院で顎関節症と言われた)
まずは痛みの原因を調べた所、1番の原因はニ態咬合である事がわかりました。少し噛み合わせの調整をした所痛みは消え顎もなんとも無くなりました。ずっと原因がわからず我慢してこられたのは辛かったと思います。
大変喜んでくれました。その後、保険治療にて歯周病治療と虫歯治療を完治し、今は予防に定期的にメンテナンスに来られています。画像ではわかりづらいと思います。噛み合わせに違和感を感じてる方はご相談ください。
![]() |
||
![]() |
![]() |
|
![]() |
||
![]() |
![]() |
|
40代男性
前歯の破折と虫歯と変色。噛み合わせがおかしい。
前歯は神経をとってある状態のままであり、神経の治療後の補綴について土台と冠の必要性を説明しました。また神経のある歯も大きな虫歯になったおり、神経を残してジルコニアポーセレンを選択たれました。また、噛み合わせがおかしいとの事でしたので、しっかりと原因を調べてから少しの噛み合わせの調整で改善しました。
この方は開口=オープンバイトという事もあり噛み合わせに関しては特に注意が必要です。
![]() |
![]() |
![]() |
![]() |
20代女性
以前神経を取った歯の変色とヒビ。
患者さんに神経を取った後の治療について知らなかったのと、前医からの説明がなかった為、きちんと説明し、治す事になりました。患者さんの希望で金属を使わない治療で、出来るだけ綺麗で自然な材料を希望されたので、ファイバーコアとジルコニアセラミックによる治療をいたしました。
自分の歯と区別がつかないと、満足していただきました。
また、これからは自分の歯の治療に対してもっと関心をもち今回の様にならないようにしてください。
![]() |
![]() |
![]() |
20代女性
マウスピース矯正で歯並びを治したい。
当院では、あらかじめ費用を決め、それ以上は矯正が伸びても最終目標になるまでは追加料金無料はいただきません。またマウスピースを作るステップ毎に費用を頂くシステムですので、患者さんの負担は減ります。
患者さんは綺麗になった歯並びと噛み合わせに大変満足していただきました。
![]() |
||
![]() |
![]() |
|
![]() |
![]() |
![]() |
60代男性
歯がぼろぼろで全体的に治療してほしい。インプラントしたい。出来るだけ快適ないいので治療してほしい。
かなり重度の歯周病であり、まずは基本治療の歯周病治療を徹底して行い出来るだけ残せる歯を1本でも増えるようにしました。また、患者さんの希望で、上はジルコニアポーセレンのブリッジとチタンの入れ歯に。下は6〜6までのジルコニアポーセレンのブリッジになりました。残念ながら希望のインプラントはこの方には充分な骨が無く不可能でした。
患者さんはとても嬉しそうに喜んでくれました。よく噛めて、人前で笑えるようになったそうです。特に家族からの評判がよく、お孫さんの前で自信を持てる様になった事が特に嬉しかったそうです。
![]() |
||
![]() |
![]() |
|
![]() |
||
![]() |
![]() |
|
40代男性
噛み合わせが全く合っておらず、きちんと咬合と審美と機能が失われていました。
まずは患者さんにインフォームドコンセントを行い、仮歯でまず、咬合再構築をする事になりました。長年いままでの状態に慣れているので、しばらくは仮歯で経過観察をしていき、患者さんが慣れた頃に最終材料にやりかえる予定です。
患者さんは定期的チェックで仮歯でとても満足しており、後は最終補綴に置き換えれば、治療終了です。
![]() |
||
![]() |
![]() |
|
![]() |
||
![]() |
![]() |
|
50代男性
歯周病で歯がグラグラで、抜けそう。噛めない。無い歯もあるので、美味しくご飯を食べれるようにしたい。今入ってる入れ歯は、噛めないのとよく外れる。保険で治したい。
よく噛めて、見た目も良くなった事と、保険のみで治療し満足していただきました。
![]() |
||
![]() |
![]() |
|
![]() |
||
![]() |
![]() |
|
40代女性
歯並びと噛み合わせの全体的な治療希望。保険治療で治したい。
ブリッジと入れ歯の組み合わせにより治療しました。
患者さんは希望通りの見た目と噛み合わせも凄く良くなったと喜んでくれました。
![]() |
![]() |
|
![]() |
![]() |
|
![]() |
||
![]() |
![]() |
|
16歳学生
前歯をぶつけて歯が折れた。お父様の紹介で来院。保険治療希望。
まだ16歳という若い年齢を考えたると、可能な限り残したかったですが、
完全に割れており抜歯するしかありませんでした。そしてブリッジの治療を希望されました。
何年も定期的にチェックとクリーニングにきちんと来られています。
本人の自覚が高くいつも綺麗でいい状態を保ちたいとの事です。
素晴らしいことだと思います。予防に勝る治療はありません!


30代女性
極度の歯科恐怖症で、ずーっと歯医者行けなかったので歯や噛み合わせや見た目が変わってしまった。
綺麗にしたい。ちゃんと咬める様になりたい。長持ちする材料がいい。
ネットで当医院を知り、今回こそは完治するように頑張りたいと来院されました。
現在の状態から、全体的な咬合再構築が必要でした。
患者さんとよく相談し治療方針を決めました。ジルコニアセラミックによる治療を希望されました。
歯並びも綺麗になり、気にしてた出っ歯も改善されました。
また、今まではどこで噛んでいいか分からなかったのが、
凄くしっかり食べれる様になって食事が美味しいと喜んでいただけました。
![]() |
||
![]() |
![]() |
|
![]() |
![]() |
|
![]() |
||
![]() |
![]() |
|
![]() |
![]() |
|
40代女性
左上前歯の痛みと歯がグラグラする。噛み合わせから全て治したい。
綺麗な歯並びにしたいけど矯正はしたくない。古い詰め物や被せ物や金属の土台を全てやりかえたい。
食いしばりを治したい。顎関節症がある。材料は1番いい物にして欲しい。ドックベストセメントをしたい。
この患者さんは事前に歯についてとても勉強して来院されました。
患者さんの希望を聞き、現状の説明をして、じっくりと何回もインフォームどコンセントをし、
納得の行く治療方針が決まりました。ジルコニアセラミックとファイバーコアを希望されました。
また、食いしばりがかなり強いので最後にナイトガードを作りました。
合わせてTCH*も日頃からつねに癖になっており、トレーニングして改善してきています。
見た目だけでなく、噛み合わせも良くなったと、喜んでいただけました。
現在は定期的に予防プログラムで、定期的に来院されています。
* TCHについては、こちらを参照してください
![]() |
||
![]() |
![]() |
|
![]() |
![]() |
|
![]() |
![]() |
|
![]() |
![]() |
|
50代男性
前歯が欠けた。右上の1番奥の歯が痛い。全体的に虫歯治療と歯周病治療希望。
古い詰め物やブリッジや被せ物をやりかえたい。インプラントも考えている。
まず前歯の欠けた原因をチェックし、全体的なバランスのいい状態に咬合調整をしました。
また右上の1番奥の歯の痛みは歯根の破折が原因で根の先まで膿んでいました。
これは外傷性咬合による破折でした。
破折原因の、夜の食いしばりと、TCHもありトレーニングもしてもらう様にしました。
CTも撮りなんとか抜歯しないで残せると診断したので、特殊な治療をし、残しました。
その後の経過は痛みも無くなり患者さんはとても喜んでいただきました。
また、前歯の欠けた歯は患者さんの希望でフルジルコニアクラウンで被せ物にしました。
ジルコニアセラミッククラウンよりは色の再現性は劣りますが、患者さんには喜んでいただけました。
また左右の下のブリッジをインプラントにしました。
そのほかのやりかえの詰め物はセラミック、被せ物はフルジルコニアクラウンを希望されました。
最後はナイトガードをつけてもらうようにしました。
経過は順調で、定期的にメンテナンスしてくことになりました。
![]() |
||
![]() |
![]() |
|
![]() |
||
![]() |
![]() |
|
40代男性
前歯の欠けと歯並び。前歯で上手く咬めない。他の噛み合わせや虫歯も治したい。歯石取りとPMTC希望。
まず診査診断の為に、歯形や歯周病検査、現状の噛み合わせなどの資料取りをして、
何が原因でどう治して行くかを判断して、患者さんとインフォームドコンセントを充分に行い
治療に関しての希望と予算に合わせて材料はジルコニアクラウンによる治療と
セラミックの詰め物と保険の材料をすることになりました。
基本治療の歯石取りとPMTC、ブラッシング指導をしっかり行い、治療をしました。
患者さんからは完璧に良くなって快適になったと喜んでいただけました。
現在は予防プログラムで悪くなりたく無いからと定期的にチェックとクリーニングに来られています。
![]() |
![]() |
|
![]() |
![]() |
|
![]() |
![]() |
|
![]() |
![]() |
|
![]() |
![]() |
![]() |
![]() |
![]() |
![]() |
![]() |

医院情報
診療時間
午前:9:30 〜 午後:1:00
午後:2:00 〜 午後:6:30
休診:土曜・日曜・祝日
電話
メールでのご相談※ご質問等はお電話にてお願いします。
住所
〒541-0054
大阪市中央区南本町4-1-1
ヨドコウビル7F
当院診療時間外・休日等の
急患の方は大阪府歯科医師会にて
対応しております。
夜間:06-6774-2600
休日:06-6772-8886



