良い治療は笑顔も
生み出します−


良い治療は笑顔も
生み出します−






当院でこれまで行ってきた症例についてご紹介しております。
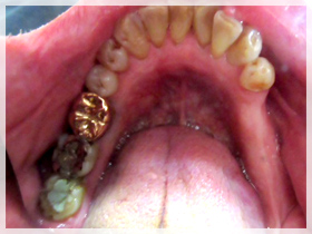
40代 男性
右下の6番の破折による抜歯後欠損
この患者さんは10年近くメンテナンスにきており、今回は、以前に6番のヘミセクション(半分だけ歯を残す治療により1本抜歯しなくて済む方法)をしており、大切に残して保険のブリッジにしていましたが、残念なことにメンテナンスで破折が見つかり保存不可能となり抜歯となりました。
再度ブリッジにするかインプラントにするか相談した結果インプラントとなりました。やはりブリッジは支えになっている歯に負担がかかるためインプラント希望となりました。
抜歯後、一次オペ→インプラントのフィクスチャー(人口歯根)を骨に埋めて、骨が弱い部位はGBR(骨を増やす治療)も行いました。
フィクスチャーが骨と結合する3〜4ヶ月間待ち→二次オペをしました。
粘膜の治癒を待ち、型取りをしフルジルコニアにて歯冠(補綴)しました。
![]() |
![]() |
![]() |
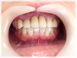
40代 女性
ブリッジの歯が痛み出して寝れない位痛い。前歯のブリッジが前に出てきて出っ歯になってきた。他のむしばも全て治療して欲しい。歯茎の治癒もして欲しい。
痛みの原因歯は右上の犬歯(3)が急性歯髄炎になっており神経を取る治療が必要です。
また出っ歯の原因でもある下の歯が上のブリッジを突き上げており、歯の痛みの原因にもなっています。また、歯が欠損している状態で長期放置してた為安定した噛み合わせが無く不安定な状態になっています。
患者さんと相談し前歯は前の保険の材料で無く自費でいいものにしたい。
後は費用の都合で保険ですることになりました。
上は今まで3〜3の6本ブリッジから、4〜4の8本ブリッジにしました。
ジルコニアハイブリッドセラミックという材料になりました。
口元の雰囲気が綺麗になり、前歯のブリッジが以前は動いてたのがガッチリとしました。
とても素敵になりました。
![]() |
![]() |
![]() |
![]() |
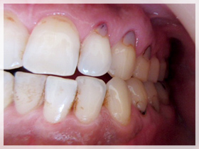
60代 男性
右上の2本(2番、3番)の歯が折れてしまってぶらぶらになったと慌てて来院されました。
患者さんとよく話し合い、残念ですが、折れた歯はどうしても残せる状態ではなく、仕方なく抜歯となりました。そして最終的にブリッジにする事になりました。
もともと歯並びも気にされていた事や、機能回復、また長持ちする様にして欲しいとの希望でした。 ジルコニアオールセラミックのブリッジにて治療しました。
セラミックにした事で費用はかかったが、綺麗になり噛み合わせもよくなったと大変喜んでいただきました。その後定期的にチェックとクリーニングにてメンテナンスをしております。
![]() |
![]() |
![]() |
![]() |
40代 男性
歯の動揺、歯周病治療、虫歯治療、 ブリッジやり変え、前歯が出てきた、クリーニング
まずは歯石除去、PMTC、などを徹底的に行い歯周状態の改善をし、歯周病を増悪させている咬合の調整をし、下の左右のブリッジをインプラントにしました。
ブリッジは支えとなる歯の負担が大きくなります。
そこで患者さんと相談しインプラントにすることにしました。
歯の動揺はなくなり、インプラントをしたことでブリッジの負担はなくなりしっかり噛めるようになりました。他の虫歯は全て保険治療にて治療しました。後は歯周病、虫歯、の再発予防に定期的にメンテナンスに来られています。またインプラントも定期的なメンテナンスが必要なことは、天然歯と変わりません。
予防に勝る治療はナシ!
![]() |
||
![]() |
![]() |
|
![]() |
![]() |
40代 男性
1:
歯茎のキワがしみる。
他院で何回も詰めたが、色々あっちこっちすぐしみたりしてくるし剥がれてくる。
根本的な理由と治療をしたい。
2:
全部の保険治療から自費治療にかえる。
何回も同じ歯が虫歯になるから。なりづらいのがいい。
ほぼ全体的に歯のキワにつめものCR(保険のプラスチックのつめもの)がしてあり、壊れてきている、噛み合わせがこの人にあっておらずバランスが取れていない。
歯周治療がきちんとされていない。
虫歯治療は全て説明なく前医で保険の銀歯によって治療されている。
最初に患者さんと相談をじっくりおこない、治療方針について決めました。
まず歯周治療をおこないお口の中を綺麗にして、噛み合わせの調整をおこないキワのつめものをハイブリッドセラミック(セラミックとプラスチック)のつめものにし、インレー(小さなつめもの)はPGA(白金)のつめものに全て変えてクラウン(被せ)はジルコニアオールセラミックにて治療しました。
患者さんの全ての不満がとれ大変満足されていました。
この後にメンテナンスを定期的ににきちんと来られています。安定した状態で維持されています。
![]() |
||
![]() |
![]() |
|
![]() |
![]() |
|
![]() |
||
![]() |
![]() |
|
40代 男性
下の歯並びを綺麗にしたい。前歯で物が噛めない。
時間をかけたくないので矯正治療はしたくない。
出来るだけ今の状態から急な変化をつけると治した事が分かってしまうので自然な感じで治したい。
患者さんとよく話し合い、ハイブリッドジルコニアクラウンにて補綴矯正(審美治療)することにしました。
大変喜んでいただきました。こんな方法がある事を知らなかったのでもっと早く来院してれば良かったと満足されていました。前歯で物が噛めるようになった事も改善されました。
![]() |
![]() |
![]() |
![]() |
40代 女性
上の前歯の1本がヒビがはいり、3~3の6本がグラつく。
オープンバイト(写真の様に前歯が上下隙間があり前噛みが出来ない)
まずヒビが入っている歯に残す為にファイバーコアをいれ補強し、3〜3の6本の連結したジルコニアオールセラミックにて治療した。また、この方は舌癖で前歯を触る癖があり、それにより歯の動揺とオープンバイトの原因のひとつとしてあるので、舌を正しい位置におくトレーニングもしてもらいました。
動揺も無くなり前歯の隙間も無くなり前歯で噛める様になりました。
今までは保険の冠(かぶせ)から自費のジルコニアオールセラミックにしたことで、見た目も美しくなりました。
汚れがつきづらいので手入れも楽になりました。
この方は10年位定期的メンテナンスにこられており、今回の件でメンテナンスの重要性を感じ またメンテナンスに定期的に来られています。痛く無くても定期的にクリーニングやお口の中のチェックは大変有効です。
予防にもつながります。
![]() |
![]() |
30代 男性
前歯を綺麗にしたいのと、すり減った歯を綺麗にしたい。又アゴの痛みもある。
まずは理想的な形と機能を付与した仮歯をセットして数ヶ月経過をチェックして、アゴの痛みは消えたか、噛み合わせは大丈夫かを慎重にみていき問題なく改善されたので、最終補綴のジルコニアオールセラミックを、上の3〜3、下の犬歯(3)に置き換えました。
審美的にも機能的にも患者さんは大変満足されてました。
![]() |
||
![]() |
![]() |
|
![]() |
![]() |
60代 男性
前に通ってた歯医者で作った入れ歯ではごはんが食べれないのと、すぐ外れてしまい安定してないから他の方法はないか?と来院されました。ずっと入れ歯はつけてなかったそうです。
インプラントの予算はないが、保険以外の方法と保険治療で他は治療したい。
まず今のお口の状態や治療方法について充分にインフォームドコンセントをし、ファイバーデンチャーにする事になりました。又、長期間入れ歯を入れてなかったことで上の歯列が下に下がってしまっており、噛み合わせもきちんと治療たいということでかぶせ物を新たにつくりなおし綺麗な噛み合わせになるように上の治療も行いました。
それにより上下バランスの良い噛み合わせになります。
また歯周病治療、他の虫歯治療も保険治療にて行いました。
患者さんはファイバーデンチャーの装置感や噛める事、外れない、ワイヤーが無くつけててもわかりづらい、また口の中が綺麗になりとてもいい状態になりました。と大変満足されています。
*後は再発しないためにメンテナンスで予防が大切です。
![]() |
||
![]() |
![]() |
|
![]() |
![]() |
70代
下の歯がないところに何かいれたい。
以前、他で作ったが痛くて噛めず合わなくて使っていない。
選択は入れ歯かインプラントとなります。
入れ歯にも色々あり、患者さんの希望で保険の入れ歯にすることになりました。
入れ歯の設計や作り方で快適な装置感にすることが出来ます。
保険の入れ歯でこんなになんでも食べれるのかとビックリしてました。よかったですね。
![]() |
![]() |
![]() |
60代 女性
右のほっぺの内側にデキモノがある。
この患者さんはずっとメンテナンスで10年近く来られてて、そのデキモノについては少し経過観察していました。
今回は口腔外科の専門医に紹介して、確定診断と処置を依頼したところ、悪い物ではなく取り除けば問題ないとの事でした。ただほって置くのはよくないとのことで、早期発見、早期治療の大切さを感じたそうです。
定期的に何も無くてもお口のメンテナンスの重要性を再認識したそうです。良かったです。
![]() |
![]() |
30代 女性
右上の奥歯が痛い、前歯を綺麗に治したい、全体的な噛み合わせと治療中断を完治させたい。
治療前にインフォームドコンセントをしっかりし、患者さんの理解と希望の上で治療方針を決めました。
まず前歯は2本だけで綺麗にしてほしい事と1番いい材料がいいとジルコニアオールセラミックを選択され、その他は保険治療で全て治療をする事になりました。
まず痛みのある歯の治療を終わらせて、全体的な噛み合わせの調整後、噛み合わせの改善後ご本人は、凄く噛みやすくなったと喜んでいました。
そして前歯の2本の治療について患者さんとよく相談してジルコニアオールセラミックにて治す事になりました。
また、歯茎の左右差があり、歯肉形成をし左右対象になるようにして補綴しました。
最小限で綺麗になったととても喜んでくれました。
今後は他の治療を終わらせていきたい、毎日でも来ますと、今まで中断してた方とは思えない意気込みです!
全く痛みが無く早く終わるのにとてもびっくりしてました。頑張って残りも治しましょうね。
![]() |
![]() |
![]() |
![]() |
40代 男性
以前、他院で神経を取った歯が痛くてたまらない→左上1
痛み止めが効かないのでなんとかしてほしい。あと2本の前歯の形を治したい。
他の虫歯治療、歯周病治療もしてほしい。
まず根の先に膿が溜まっておりセラミックと中の土台を除去し根の治療をしたところ膿が溢れてきました。
しばらくは根の治療に時間がかかるので応急の仮歯を入れて治療終了後に不揃いだった歯茎を歯肉整形をし、右のセラミックはそのまま触らず、主訴の歯のみ1本をセラミックとファイバーコアにて修復しました。
前よりも綺麗になり噛み合わせも良くなったと、とても喜んで頂きました。
その他の治療は保険治療が希望でしたので、保険にて治しました。
![]() |
![]() |
![]() |
![]() |
20代女性
歯ぎしりで歯がすり減ってしみる、顎関節が痛い、すり減ってる歯を綺麗に治したい。
他院ではナイトガードをするしかないと言われたがなんとかして欲しい!
全歯がすり減ってしまった状態で機能的にも審美的にも日常生活に支障をきたす状態になっており、全顎的な治療が必要と診断し、御本人と充分に治療方針、方法についてインフォームドコンセントを行いました。
そして、ジルコニアオールセラミックにて補綴矯正、機能的かつ審美的の回復をすることになりました。
下の歯の2~2の4本はそのままで問題ないと判断したので、それ以外の24本の歯を治療しました。
まずは診断用ワクシングを作り、最終的な状態をあらかじめ理想的に作り、それをもとに仮歯(プロビジョナル)を作成し、24本の歯を順に仮歯に変えていきます。 噛み合わせの高さが低い状態だったので、バイトアップ(咬合を高く)して本来の高さまで元に戻す様にしました。
この時気をつけないといけないのは、長年かけてすり減ってきた歯と顎関節との調和です。
いきなり噛み合わせが変わると顎関節が対応出来ない事があります。
しかし仮歯の微調整を繰り返し、その人にあった状態にしたところ顎の痛みが無くなりました。
あとは御本人の希望の審美的な要素も聞いて、こうしたいという写真なども持ってきてもらい、最終的な状態の仮歯(プロビジョナル)に再度交換して、機能的、審美的、その他全てのチェックをしてジルコニアオールセラミックにおきかえました。
よく噛めて、顎の痛みも消え、見た目も美しくなったと大変満足していただきました。
本当に頑張りましたね!これからはいい状態を保つ為にメンテナンスに移行となりました。
![]() |
||
![]() |
![]() |
|
![]() |
![]() |
|
![]() |
![]() |
|
![]() |
||
![]() |
![]() |
|
![]() |
![]() |
|
30代 女性
噛み合わせを治して欲しい、ずっと顎関節が痛い、ホワイトニング、虫歯治療、歯周病治療。
1番いい材料で治して欲しい。
まず口腔内のチェックと歯型をとり模型にした状態と合わせて問題がないか診断をしてから、説明をし、充分に理解してもらった上で、治療にはいります。
まずは噛み合わせの調整をしました。次回来院時に、何年も悩まされていた顎の痛みと噛み合わせが良くなった!と嬉しそうに報告していただきました。ほんのすこしの調整でこんなに早く治る事にビックリされてました。
次にクリーニング(PMTC)した後にオフィスブリーチ(病院で行うホワイトニング)をし、順に虫歯治療をしました。
全てにおいて治っていることに満足していただきました。
![]() |
![]() |
30代 男性
全体的な治療。虫歯治療、歯周病治療。保険治療と自費治療希望
上の前歯のブリッジの動揺があるのと出っ歯になってきている。
他の歯は保険治療してある歯が再度虫歯になっている。
まずは歯周病治療をし、噛み合わせにおいて重要な奥歯の治療を保険治療と自費治療により終わらせてから上の前歯の治療を保険治療で行いました。ブリッジの設計が良くなかったせいもあり動揺と出っ歯になってきていた状態でしたので、補綴学的に正しい設計を提案し保険治療にてブリッジのやりかえをしました。
同時に出っ歯の状態も元に戻しました。
ブリッジの動揺は全くなくなり安定した状態になりました。
また、歯周病治療、虫歯治療も全て治療が終わりました。
今までは予防について考えておらず、またそういう説明もなく、何かあると歯医者に行くという習慣だったみたいです。虫歯にしろ歯周病にしろ再発するものだという考えがなかったため、ほとんどが以前治療した歯が再発していました。
予防に勝る治療はありません!
定期的に、症状がなくても歯医者にいきチェック、クリーニングを続ける事が重要です。
![]() |
![]() |
![]() |
![]() |
50代 男性
前歯4本の変色と歯茎の退縮でやりかえ。保険から保険です。
この方は当院で必ず定期的にチェックとメンテナンスに来られてる方です。
以前に主訴の前歯の4本を保険適応の前装冠(銀合金にプラスチックを貼り付けてたもの)にて当院で治療していた被せものがかなりの年数が経過してメンテナンスで耐久年数を大幅に超えて保ってたんですが、材料の劣化により変色、歯周ポケットからの排膿、金属に穴が空いてきて、やりかえる事になりました。
本当は長持ちするセラミックにしたかったのですが、個人的理由により保険適応で治療をしました。
また綺麗になり歯周ポケットからの排膿もなくなりました。
保険だろうと自費だろうと決めるのは患者さん本人です。ただ違いがあるのも事実です。
プロとしてきちんと説明をして御本人が納得して治療をすることが1番です!どちらにせよ当医院では絶対に手を抜いたりせず治療をしています。またメンテナンスで長く保たせましょう!!
![]() |
![]() |
30代 女性
マウスピース矯正で上下歯並びを治したい。
歯が出てるのと大きいのと長いのを治したい。歯茎のラインを揃えたい。
まず歯型をとり何回かかるかを診断します。
回数を提示したら、もし回数が増えたとしても追加料金は頂きません!
また御本人が満足したところで中止も出来ます!
かなり綺麗になりました。本人も満足しています。
プロとしては少し形態修正と追加矯正を、すると完璧に綺麗になるのですが、遠方から来られててなかなか来院出来ず、最後の仕上げがまだできてないところが心残りです。
ただ次回来院時には完璧にする予定です。
![]() |
||
![]() |
![]() |
|
![]() |
||
![]() |
![]() |
|
40代 男性
歯のクリーニングと前歯のやり直し 保険治療希望
反対咬合であるが、ご本人は治さず今のままでの治療希望でしたので、クリーニングをし前歯3本のやり直しを保険の前装冠にて作りなおししました。
大変満足されてました。
![]() |
![]() |
![]() |
||
![]() |
![]() |
|
50代 女性
顎が痛い。全て綺麗にやり直して欲しい。口元に張りがないから何とかして欲しい。
歯茎の整形をして欲しい。前医で入れたインプラントも見て欲しい。
とにかく忙しいので毎日来てもいいから最短で治して欲しい。
患者さんと相談した結果、今噛みにくい事、1番いいジルコニアオールセラミックで治してほしい、歯を白くしたい、など色々なリクエストがありました。まず診断の為に歯型をとり、問題点や改善点を診査診断し、治療方法を提示したところ、それでやって欲しいとなりました。
具体的な治療は、1:歯周病治療、2:虫歯治療、:3歯肉整形、4:下がってる咬合を咬合を上げて理想的な状態にする事や噛み合わせを治すこと、5:審美回復、6:その他 メンテナンスなど
顎の痛みも無くなり前よりもよく噛めるようになりました。
見た目も綺麗になり、口元の張りが出たと喜んでくださいました。
また噛み合わせを変えたことで、口が楽になったそうです。
![]() |
![]() |
![]() |
![]() |
![]() |
![]() |
![]() |
![]() |
![]() |
![]() |

医院情報
診療時間
午前:9:30 〜 午後:1:00
午後:2:00 〜 午後:6:30
休診:土曜・日曜・祝日
電話
メールでのご相談※ご質問等はお電話にてお願いします。
住所
〒541-0054
大阪市中央区南本町4-1-1
ヨドコウビル7F
当院診療時間外・休日等の
急患の方は大阪府歯科医師会にて
対応しております。
夜間:06-6774-2600
休日:06-6772-8886



